치아 뿌리염증 심한가요?크라운 씌워도 될까요?
오래된 크라운 재치료중인데 잇몸도 부어있고 뿌리염증도 보이는데 충치제거 하고 크라운 그냥 씌워도 될까요?염증이 있고 잇몸도 좀 부어있어서 걱정인데 재신경치료나 이런치료는 안하고 있다고 하네요 (대형 체인치과) 병원마다 스타일이 있다나요? (치과상담사가 그렇게 이야기함) 다른병원에서 재신경치료하고 와도 된다고..아니면 20만원 제하고 환불을 해준다고 하는데 충치 치료하고 레진코어 충전해서 그렇다고 하네요..사실상 치료는 끝났고 크라운 부착만 남겨놓은 상태에서 어떡하면 좋을지 현명한 답변 부탁드려요 (끝에서 두번째,세번째 아래어금니)
안녕하세요. 장인아 치과위생사입니다.
다른치과 방문해서 재신경치료와 잇몸치료를 한후 크라운을 씌우는것이 좋을것 같습니다.
도움이 되기를 바랍니다. 건강하세요.
안녕하세요. 정진석 치과의사입니다.
현재 상태에서는 이대로 씌우게 되면 증상이 멈추지 않습니다. 재신경치료를 꺼려하는 것은 대부분 실패할 가능성이 높기 때문입니다. 재 신경치료를 실패하면 그 다음은 발치 이후 임플란트나 브릿지 밖에 없습니다. 하지만 지금 상태에서는 이대로 씌우는 것은 의료가 아니며 이는 환자의 불편감만 커질 뿐입니다. 가급적이면 치료를 하시길 바랍니다.
아무쪼록 저의 답변이 문제 해결에 작게 나마 도움이 될 수 있기를 기원드립니다. 항상 건강하고, 행복하세요^^
정진석 치과의사 드림
안녕하세요. 안상우 치과의사입니다.
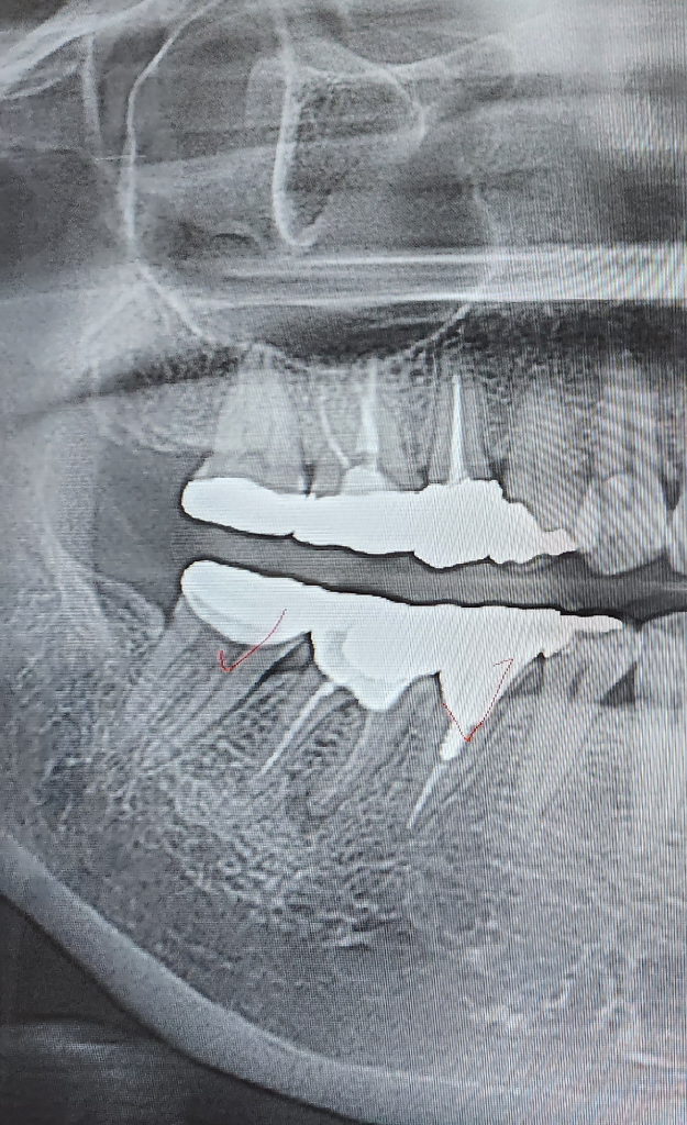
사진으로만 봤을 경우에는 #46 치아 뿌리끝에 약간의 염증이 보이고 있습니다.
잇몸이 내려간것은 크게 문제가 되지는 않을것으로 보이나 뿌리끝의 염증으로 인해서 생기는 통증이라면 재신경치료가 필요할수 있습니다.
안녕하세요. 김철진 치과의사입니다.
일반병원에서는 재신경치료를 잘 하지 않습니다. 성공률이 높지 않기 때문입니다. 뿌리끝에 약간의 염증이 보이고 잇몸이 부워잇는 상태이신거 같은데 잇몸치료를 조금더 받아보시고 크라운치료를 마무리 하시는게 어떠실지요.
안녕하세요. 김지훈 치과의사입니다.
먼저 대형병원에서 치료하는 것을 추천드리지 않습니다. 현재로서는 정확한 상태 체크를 위해 다른치과를 내원해보시는 게 좋겠습니다.

