아하
  • 토픽

  • 스파링

  • 잉크

  • 미션


의료상담

비상하는 올빼미862

비상하는 올빼미862

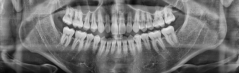
앞니 치아뿌리가 짧은지 알수있나요?


앞니 치아뿌리가 짧은건가요?

치과에서 교정 중 정출과정 있을 수 있다고 말씀하셨는데 치아지지에 문제가 없을까요 치과쌤은 약간만 와이어로 이동하는거라 문제없을거라고 하셨었습니다

  • 1번 째 사진

4개의 답변이 있어요!

  • 정진석 치과의사

    정진석 치과의사

    대학병원 통합치의학전문의

    안녕하세요. 정진석 치과의사입니다.

    일반인에 비해서는 앞니의 뿌리가 긴편은 아니나 정상적인 수준이며 병적인 상태가 아닙니다. 해당 사진으로 보았을 때 교정적으로 1~2mm 이동하더라도 전혀 문제가 되지 않으며 1~2mm 이동은 많이 이동하는 것이 아닙니다. 교정 와이어로 쉽게 이동이 가능할 것으로 보입니다.

    아무쪼록 저의 답변이 문제 해결에 작게 나마 도움이 될 수 있기를 기원드립니다. 항상 건강하고, 행복하세요^^

    정진석 치과의사 드림

  • 안녕하세요. 김철진 치과의사입니다.

    앞니 치아 뿌리가 약간 짧지만 교정하신다고 크게문제가 되지는 않을것같습니다. 교정을 하시게 되면 양치가 어려우니 치아관리를 정말 잘하셔야됩니다.

  • 안녕하세요. 안상우 치과의사입니다.

    사진으로만 봤을 경우에는 전치부위의 뿌리길이는 정상으로 보입니다.

    교정을 하는 도중에 치아 뿌리의 흡수나 정출현상이 발생할수 있기 때문에 치아의 뿌리가 정상적이고 잇몸에 염증이 없을때 교정을 하게 됩니다.

  • 안녕하세요. 오유진 치과의사입니다.

    상악 앞니의 치아뿌리의 길이는 정출시 보다는 치아 함입시 영향이 있을수 있습니다. 교정 진단한곳에서 더 자세한 설명부탁드리면 친절히 답변해주실거 같습니다.