아하
  • 토픽

  • 스파링

  • 잉크

  • 미션


의료상담

똘똘한잠자리232

똘똘한잠자리232

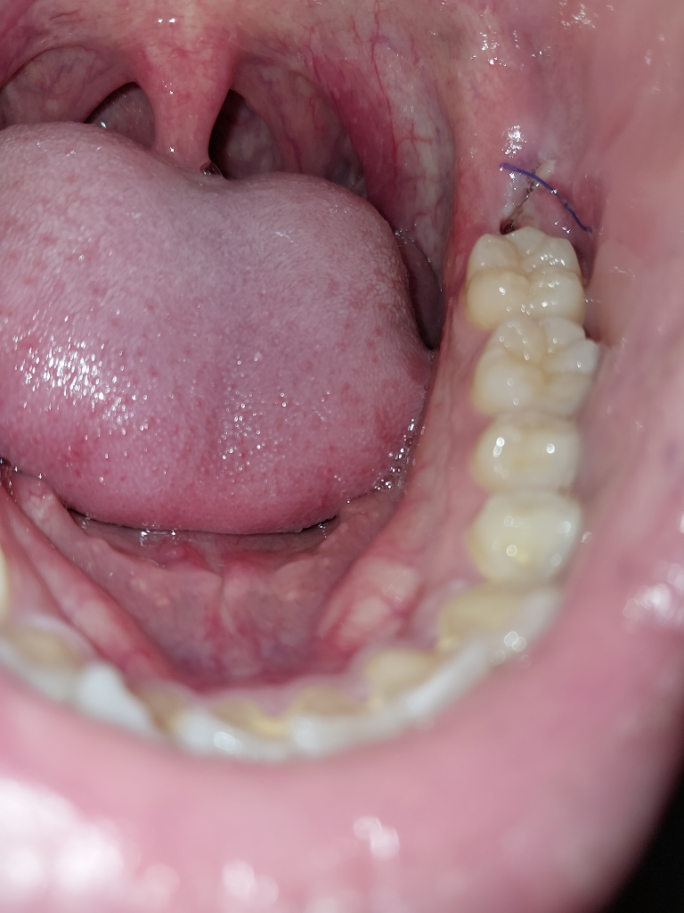
매복사랑니 발치한지 4일째인데 구멍이 조금 생겼습니다

발치한지 4일째 아침에 일어나서 잇몸상태를 보니 전날까진 보이지 않던 구멍이 보이더군요 정상적인 치유 과정인지 뭔가 잘못된건지 잘 모르겠습니다


전날 상태




오늘 상태



물을 마시면 아주조금 따끔거리긴 하는데 무시하고 넘어갈 정도의 통증이긴합니다 괜찮을까요?


  • 1번 째 사진
  • 2번 째 사진

3개의 답변이 있어요!

  • 김지훈 치과의사

    김지훈 치과의사

    메가

    안녕하세요. 김지훈 치과의사입니다.

    정상적으로 잘 낫고. 있습니다. 사진 상에서, 증상을 봤을 때 특별히 걱정하실 부분은 안보입니다.

  • 안녕하세요. 송우식 치과의사입니다.

    발치 부위에 이가 빠지고 구멍이 생긴것으로 보입니다. 이는 정상적인 현상이며 잇몸은 시간이 지남에 따라 차오르게 됩니다. 잇몸이 차오르는 기간은 개인마다 차이가 있으며 3-6개월 이상 시간이 소요가 됩니다.

    궁금증 해소에 도움이 되시길 바라며, 도움이 되신 경우 ‘추천’ 부탁드립니다. 감사합니다.

  • 안녕하세요. 김철진 치과의사입니다.

    사랑니 발치하시고 실로 매꿔놓는건 잇몸이 봉인하는게 아니라, 음식물이 더 들어가라고 해놓은겁니다. 약간 구멍이 생겨도 크게 문제가 되지 않습니다.