아하
  • 토픽

  • 스파링

  • 잉크

  • 미션


의료상담

훌륭한물개94

훌륭한물개94

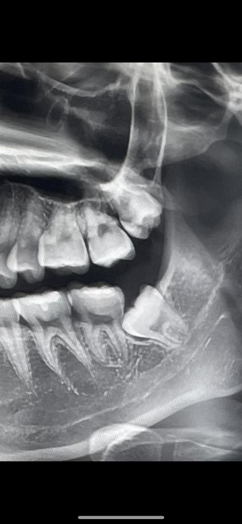
(사랑니 질문) 염증인지 치낭인지 궁금해요 !

왼쪽 아래에 사랑니 질문인데요,

뿌리쪽 말고 머리쪽 아래에 뭔가가 있는데

치낭인지 염증인지 궁금해요 !

다른 치아와 맞닿은 부위가 썩을 가능성이 있어 보이는지, 이 사랑니를 뽑으면 좋을지도 궁금합니다~

  • 1번 째 사진

3개의 답변이 있어요!

  • 안상우 치과의사

    안상우 치과의사

    목동안치과의원

    안녕하세요. 안상우 치과의사입니다.

    치아가 치조골 안에 있을때는 머리부분이 막에 쌓여 있습니다.

    그부위가 어둡게 보이는 부분이에요.

    크게 문제가 되지는 않지만 사랑니가 잇몸밖으로 나오게 되어 이물질이 끼어 있게 되면 충치가 생길수 있기 때문에 발치를 하는것이 좋습니다.

  • 안녕하세요. 김철진 치과의사입니다.

    사랑니 머리 부분에 아무것도 잇는 상태가 아닙니다. 그냥 잇몸이 덮혀 있는거 같습니다. 사랑니앞치아가 썩엇을 가능성이 있어 보입니다.

  • 안녕하세요. 최석민 치과의사입니다.

    염증은 아니고 치아가 맹출 시 반응해서 생긴 구조입니다 현재 사랑니가 그 앞 어금니를 밀고 있으므로 치근흡수, 충치의 가능성이 있습니다 부분매복의 경우 예방적 발치가 권장되기도 합니다