아하
  • 토픽

  • 스파링

  • 잉크

  • 미션


의료상담

특히깔끔한가오리

특히깔끔한가오리

편도 상태 문의드립니다(수술여부)

성별

남성

나이대

32

기저질환

비염

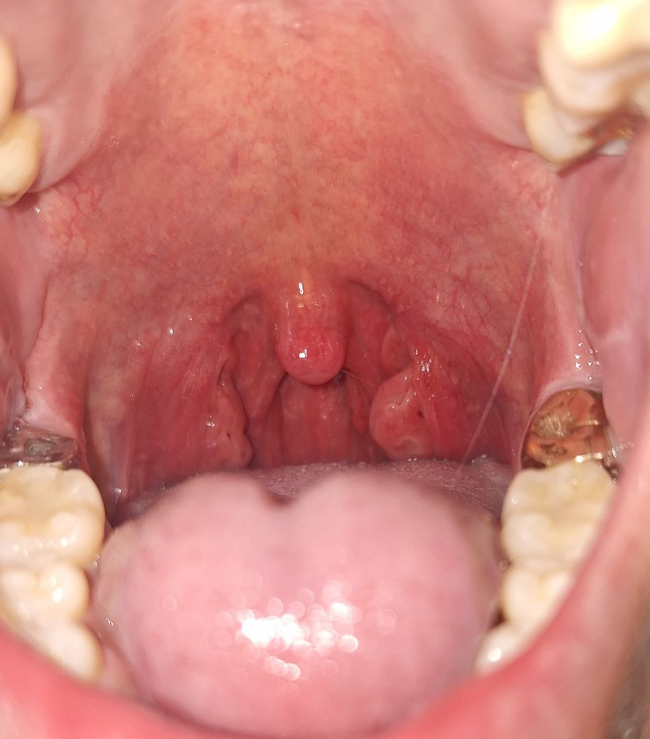
어려서부터 편도결석이 자주 생기고 감기가 걸려도 목부터 안좋아진다는것은 알았지만 제 편도가 비정상이라고는 생각못하다가 최근에 인지했습니다ㅠ

혹시 수술을 요할정도로 편도가 커져있는 상태일까요? 아니면 가글 등 관리해준다면 괜찮을까요?

편도결석은 사진상 오른쪽에만 발생하고 왼쪽은 과거에는 생겼다가 최근몇년간 생긴적은 없습니다.

  • 1번 째 사진

1개의 답변이 있어요!

  • 옥영빈 의사

    옥영빈 의사

    홍성의료원

    편도가 체질적으로 큰 편이시긴 합니다만 반드시 수술을 하여야 한다고 판단할 정도로 큰 정도라고 보기는 어렵습니다. 그렇지만 편도염이 빈번하게 발생하고 편도 결석이 반복하여 생기는 정도의 상태라면 수술적 치료를 고려해볼 수 있는 소견이긴 합니다.