아하
  • 토픽

  • 스파링

  • 잉크

  • 미션


의료상담

성숙한몽구스175

성숙한몽구스175

치실사용중에 충치인거같아서 질문드립니다

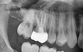
25년 2월 정도에 스케일링과 치과치료 받았는데 그당시에는 다른 치아에는 충치가 없다고 하셨어요 근데 오늘 치실 사용중에 보다보나 검은 선 비슷한게 보여서 질문드립니다

엑스레이는 25년 2월 촬영본입니다!

  • 1번 째 사진
  • 2번 째 사진
  • 3번 째 사진

3개의 답변이 있어요!

  • 김철진 치과의사

    김철진 치과의사

    가까운우리치과

    안녕하세요. 김철진 치과의사입니다.

    엑스레이 상으로는 충치가 없는것같습니다. 인접면에 초기 충치가 잇는거 같으니 일단은 관리를 잘하시는게 중요할것같습니다.

  • 안녕하세요. 최석민 치과의사입니다.

    충치가 의심되긴 합니다 치과가서 파노라마 큰 엑스레이 사진 말고 작은 치근단 사진 찍어보세요

  • 안녕하세요. 정진석 치과의사입니다.

    현재 사진만으로는 인접면에 대한 정확한 평가가 어렵습니다. 보여주신 x-ray는 panorama 사진으로 전체적인 치아 사진을 보는 것이지 개별적인 치아 상태는 standard view라고 하여 따로 촬영을 해야 합니다. 아래에 찍은 사진만으로도 정확한 판단은 어렵습니다. 가까운 치과 방문 후 x-ray 촬영을 하는 것이 필요해보입니다.

    아무쪼록 저의 답변이 문제 해결에 작게 나마 도움이 될 수 있기를 기원드립니다. 항상 건강하고, 행복하세요^^