아핫뉴스실시간 인기검색어
아핫뉴스 화산 이미지
화산 아이콘 11
비트코인 연간 마이너스
아하

의료상담

치과

아하핑크
아하핑크

드라이소켓(건성발치와)인가요?

안녕하세요.

이번 주 월요일(11월4일)에

좌측 하악 매복사랑니를 발치하여 봉합을 하였고

다음 날 치과에 방문하여 소독을 받았을 때는 아무 일이 없었습니다.

오늘(11월9일)은 발치한지 5일 차가 되었습니다.

발치 후 1일~2일 차에는 통증이 덜 하였는데 오히려 3일~4일 차에 발치 부위와 턱의 통증이 너무 심하여 거의 기절해있었습니다. 또한 쌍꺼풀이 사라질 정도로 얼굴 전체가 붓고 미열이 나고 코가 막히고 몸살 기운이 있고 두통이 있는 등의 증상도 함께 있었습니다.

5일 차인 오늘이 되어서야 겨우 정신을 차렸습니다.

심한 통증으로 인하여 담당 치과의사께서 처방해주신 진통제의 양보다 많고 다양한 진통제를 복용하였습니다

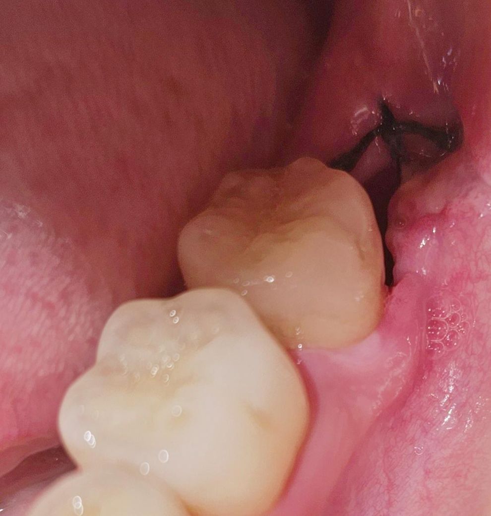
발치한지 5일 차인 오늘 촬영한

해당 부위의 사진들을 보시고

드라이소켓(건성발치와)인지 한번 봐주신다면

감사하겠습니다.

판단하시는데 조금이라도 도움이 되실까 싶어

발치 전 CT촬영 사진도 함께 첨부하겠습니다.

  • 1번 째 사진
  • 2번 째 사진
  • 3번 째 사진
  • 4번 째 사진
  • 5번 째 사진
  • 6번 째 사진
3개의 답변이 있어요!
  • 안녕하세요. 김철진 치과의사입니다.

    발치하고 3-4일이 지나고 나서 통증이 심햇다면 드라이소켓이엇을 가능성이 높습니다. 아프셧다면 치과에 가셔서 소독을 받으셧으면 좋앗을것같습니다.

    1명 평가
  • 안녕하세요. 김지훈 치과의사입니다.

    사진상에서는 드라이소켓으로 보이진 않지만 냄새가 심하거나 통증이 심하면 의심해볼 수 있습니다.

    1명 평가
  • 안녕하세요. 송우식 치과의사입니다.

    현재 사진상으로 드라이 소캣으로 보이지는 않습니다. 우선 진통제를 복용하면서 상태를 지켜보고, 만약 붓기 및 냄새 ,통증이 심해지는 경우에는 다시 치과진료를 받길 권합니다.

    만족스러운 답변되셨으면 합니다.

    <평가> 감사합니다.

    1명 평가