아하
  • 토픽

  • 스파링

  • 잉크

  • 미션


의료상담

조랑말

조랑말

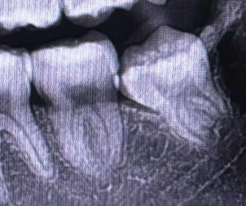
사랑니 사이에 있는 하얀색깔은 치석인가요?

사랑니 사이에 하얀색으로 보여지는 건 치석일까요?

사랑니가 아직 밖으론 안 나왔는데

파노라마에서는 하얀색 치석 처럼 보여서요.......ㅠㅠㅠㅠ

파노라마에서 하얀색으로 나오는 건 치석이라서 그런건가요? 뭔가요 대체ㅠㅠㅠㅠㅠㅠ

  • 1번 째 사진

3개의 답변이 있어요!

  • 김지훈 치과의사

    김지훈 치과의사

    메가

    안녕하세요. 김지훈 치과의사입니다.

    해당 부분은 사랑니와 어금니가 겹쳐져있어서 그렇게 보이는 것으로 특별히 문제는 아닙니다.

  • 안녕하세요. 김철진 치과의사입니다.

    사진에 보이는 하얀색은 사랑니과 그 앞치아가 겹치면서 보이는겁니다. 치석은 아닌거 같습니다.

  • 안녕하세요. 최석민 치과의사입니다.

    치석아닐것 같습니다 2차원 사진 특성상 사랑니랑 그 앞 어금니가 겹쳐서 그렇게 왜곡되어 보이는 것 같습니다