아하
  • 토픽

  • 스파링

  • 잉크

  • 미션


의료상담

숙연한숲제비157

숙연한숲제비157

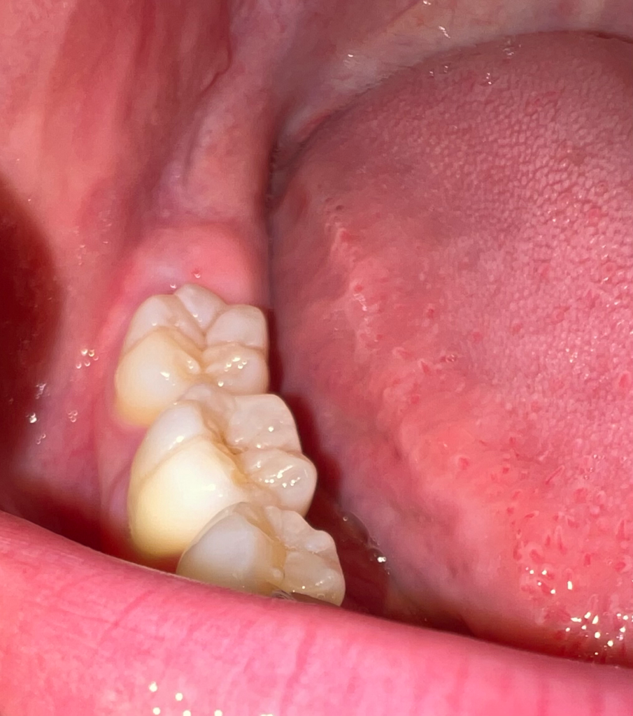
사랑니잇몸자리에 저런게 났는데 혹시 구내염일까요?


혀나 음식물로 자극만 하지않는다면 그다지 큰 통증은 없습니다

저자리에 사랑니가 있는데 발치는 하지않았습니다 혹시 사랑니 때문일까요?



  • 1번 째 사진

3개의 답변이 있어요!

  • 김철진 치과의사

    김철진 치과의사

    가까운우리치과

    안녕하세요. 김철진 치과의사입니다.

    사랑니가 잇몸바로 잇으면서 잇몸이 부은거 같습니다. 많이 불편하시면 사랑니를 발치하셔야될것같습니다.

  • 안녕하세요. 김지훈 치과의사입니다.

    사랑니가 맹출하는 것처럼 보이긴 합니다. 불편감이 지속될 시 사랑니를 발치하러 가시는 것이 좋겠습니다.

  • 안녕하세요. 최석민 치과의사입니다.

    사랑니로 인해 잇몸이 자극되어 해당 증상이 생겼을 가능성이 있어보입니다 자극이 가해지면 증상이 악화될 수 있습니다 많이 불편하다면 치과를 가보시는게 좋을 것 같습니다