홈
토픽
스파링
잉크
미션
전문가 신청
베리몰
나도 질문하기
의료상담
탈퇴한 사용자
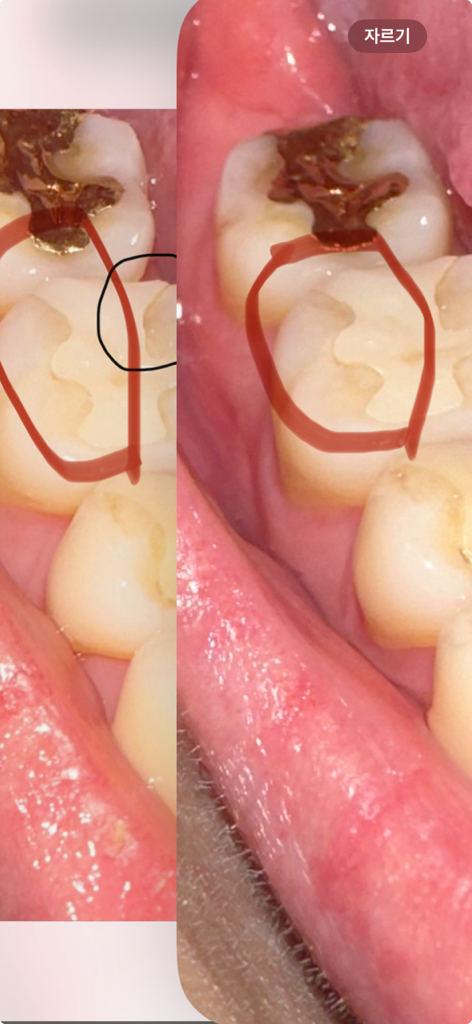
저기 빨간 동그라미 부분 왼쪽이 치료받기 전이고 오른쪽이 치료받은 후 입니다 제가 말한쪽이 아닌데 다른쪽을 다듬어줘버려서 멀쩡했던 부분 마저 저렇게 됐습니다.. 괜찮은걸까요? 문제될게 있을까요? ㅠㅠ
사진 보기
1개의 답변이 있어요!
송우식 치과의사
솔플란트치과 경기도 성남시 모란역
∙
안녕하세요. 송우식 치과의사입니다.
현재 사진상으로는 크게 문제가 되어 보이지는 않습니다. 하지만 현재 이물감이나 시리거나 통증 및 불편감이 나타나는 경우치과를 방문하여 진료를 받길 권합니다.
궁금증 해소에 도움이 되시길 바라며, 도움이 되신 경우 '추천' 부탁드립니다.
평가
응원하기