아하
  • 토픽

  • 스파링

  • 잉크

  • 미션


의료상담

Sysysysysysy

Sysysysysysy

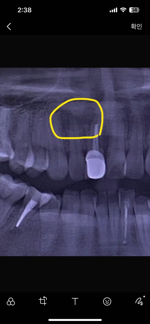
앞니 퇴축 여부 및 치근단 병소 수술 관련 몇가지 질문입니다.

안녕하세요

제가 앞니 치근단 병소 때문에 대학병원 수술 예정입니다. 올해초에 찍은 사진이라 지금은 부위가 조금 더 커졌어요. 수술 날짜를 기다리고 있는데 수술하기로 한 옆에 앞니의 잇몸이 좀 드러난것 같아서요.


Q1.치과 의사 선생님들이 보시기엔 어떤지, 또 잇몸 염증이 주변 치아에도 영향을 끼칠 수 있는지 궁금합니다.


Q2. 대학병원에서는 전신마취로 수술 하라고 하는데… 마취할 생각에 너무 무서워서요 .. 로컬 치과에서의 수술 가능 여부도 궁금합니다.


Q3. 앞니 수술은 염증을 긁어내는 걸로 끝날까요? 아니면 치근단 절제술을 해야하는지도 궁금해요.


표시해 놓은 쪽이 수술예정이에요.


감사합니다.

  • 1번 째 사진
  • 2번 째 사진

3개의 답변이 있어요!

  • 김지훈 치과의사

    김지훈 치과의사

    메가

    안녕하세요. 김지훈 치과의사입니다.


    Q1.치과 의사 선생님들이 보시기엔 어떤지, 또 잇몸 염증이 주변 치아에도 영향을 끼칠 수 있는지 궁금합니다.


    염증이 깊어보입니다.

    Q2. 대학병원에서는 전신마취로 수술 하라고 하는데… 마취할 생각에 너무 무서워서요 .. 로컬 치과에서의 수술 가능 여부도 궁금합니다.


    로컬에서도 가능한 곳이 있습니다.

    Q3. 앞니 수술은 염증을 긁어내는 걸로 끝날까요? 아니면 치근단 절제술을 해야하는지도 궁금해요.

    수술 가능성도 있습니다.

  • 안녕하세요. 김철진 치과의사입니다.

    Q1.치과 의사 선생님들이 보시기엔 어떤지, 또 잇몸 염증이 주변 치아에도 영향을 끼칠 수 있는지 궁금합니다.

    -치아 뿌리끝 염증이 활성화 되면 다른치아에 까지 영향을 줄수 있습니다.

    Q2. 대학병원에서는 전신마취로 수술 하라고 하는데… 마취할 생각에 너무 무서워서요 .. 로컬 치과에서의 수술 가능 여부도 궁금합니다.

    -치과마다 다르겟지만 전신마취 까지 할정도로 심해보이진 않습니다. 다른 치과도 한번 상담을 해보세요.

    Q3. 앞니 수술은 염증을 긁어내는 걸로 끝날까요? 아니면 치근단 절제술을 해야하는지도 궁금해요.

    -염증을 긁어 내고도 염증이 사라지지 않는다면 치근단 절제수를 하셔야될수도 있습니다.

  • 안녕하세요. 안상우 치과의사입니다.

    사진으로 봤을 경우 치근단 부위의 병소가 커 보입니다.

    치근단 병소의 원인을 확인하고 치료를 하는것이 좋으며 치근단 병소가 없어지지 않는다면 치근단 수술을 해야 할수 있습니다.