아핫뉴스실시간 인기검색어
아핫뉴스 화산 이미지
아하

의료상담

피부과

탈퇴한 사용자
탈퇴한 사용자

여드름, 모낭염 어떻게 치료해야하나요? (사진 있음)

성별
여성
나이대
26

원래 생리 2주 전쯤부터 피부가 엄청 뒤집어지기 시작해서 생리를 하면 점점 가라앉는 편인데, 이번에는 거의 한달 반동안 이 상태입니다 ..

초반에 생리로 뒤집어졌을 때 유튜브를 보고 바이텍스라는 영양제를 한달동안 먹어봤는데, 효과가 없는 것 같아 오늘부터 중단 할 예정이에요.

얼마전에 에스로반 연고를 사서 트러블에 전체적으로 4일동안 발랐는데, 심하게 가렵고 따가워서 이것도 어제 저녁부터 중단한 상태입니다.

Q1. 영양제는 저한테 맞는 걸로 계속 바꿔가면서 먹어볼 예정인데, 보통 얼마 기간동안 먹어야 효과를 알 수 있나요? 얼마나 먹어보고 중단해야할지 고민이 됩니다.

Q2.

에크린 겔 / 세비타비 겔 / 에크논 크림 / 노스카나 겔을 가지고 있습니다. 지금 피부 상태에 어떤 걸 어떻게 사용하면 좋을까요?

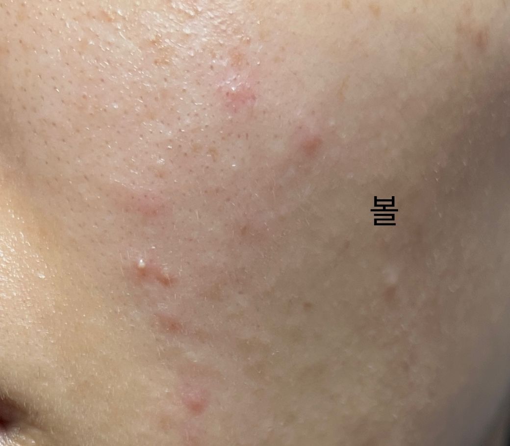
Q3. 저렇게 하나씩 있는 노란 작은 알갱이같은 부분이 모낭염인건 알겠는데, 나머지 빨간 부분들은 어떤 증상인지 궁금합니다.

  • 1번 째 사진
  • 2번 째 사진
  • 3번 째 사진
  • 4번 째 사진
1개의 답변이 있어요!
  • 안녕하세요. 최병관 내과 전문의입니다.

    현재 주로 화이트헤드를 동반한 경증 여드름의 양상에 가깝고 일반적으로 여드름 치료에는 피지가 잘 배출될 수 있게 해당부위를 녹여주는 성분 연고를 단독으로 도포하는 것이 권고되거나 해당 치료에 효과가 없을 경우 피지를 줄여주는 레티노이드 유도체 국소 연고등을 복합적으로 사용하는 것이 가장 일반적인 치료입니다. 그러므로 영양제를 복용하는 것은 의학적으로 충분한 근거가 있지 않으며 일반의약품보다는 피부과에 내원 후 상담 후 치료를 받으시는 것을 권장합니다.