임플란트 실밥 제거 후 실밥이 남아있어요
상악 앞니와 우측 아래 어금니2군데 도요ㅣ에 임플란트 픽쳐스 식립 후 오늘 일주일째
치과 방문해서 실밥 제거하고
집에 와서 거울을 보는게 검은 선이 보여서
혹시 실밥인가 하고 살짝 벌려보니 실밥 매듭이 보이네요…
사진으로 정확하게 찍히지는 않아요
식립 당일부터 꾸준히 임플란트 식립한
어금니에 통증이 계속 약하게 있었는데
잇몸만 보시고 그냥 괜찮다고 하시고
오늘 진료 받을 때도 대충 봐주신다 느꼈는데
실밥도 제대로 제거가 안 되어 있네요
삼개월 후 방문하라 하셨는데
그 전에 방문해서 실밥 제거해야 하나요?
실밥 1줄 정도는 놔둬더 무관한가요?
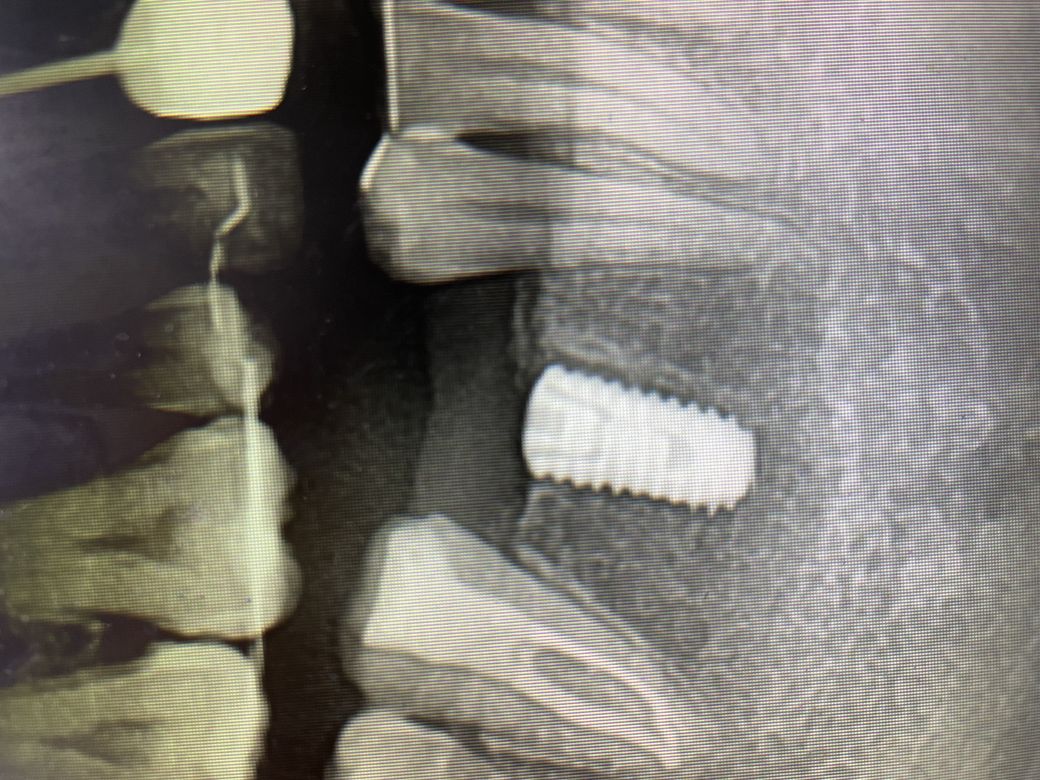
엑스레이 상으로는 식립이 잘 된간가요?ㅠㅠ
안녕하세요. 김세현 치과의사입니다.
걱정이 많으셨겠습니다.
저렇게 잇몸 사이에 실밥이 있으면 간혹 치과의사들이 놓치기도 하는데요,
감염의 통로가 될 수 있어서 3개월 기다시는게 아니라 가서 실밥을 뽑으시는게 좋습니다.
임플란트는 엑스레이상 문제없어보입니다.
좋은 결과 있으시길 바라겠습니다.
안녕하세요. 이효상 치과의사입니다.
사진상으로 정확히 보이지 않지만,
만약 실밥이 남아있다면
다시 치과에 가셔서
실밥을 제거하고, 소독을 받는것이 좋습니다.
확답을 드리긴 힘들지만 임플란트에는 큰 이상이 없어 보이긴 합니다.
안녕하세요. 송우식 치과의사입니다.
사진상으로는 실밥인지 아닌지 확실히 확인 안됩니다
만약 실밥이 확실하다면 치과에 내원하여 뽑아야 됩니다. 3개월 동안 그냥두면 안됩니다. 그전에 뽑아내야 합니다.
안녕하세요. 김철진 치과의사/경제·금융전문가입니다.
사진상으로는 식립이 잘되신것같습니다. 실밥이 남아 있다면 치과가셔서 빼달라고 하시면되고, 아마도 잇몸에 덮혀 있어서 못본게 아닐까 싶습니다.
안녕하세요. 정진석 치과의사입니다.
해당 사진으로는 실밥이 보이지 않습니다. 실밥이 잔류되어 있는 것은 회복에 좋지 않습니다. 따라서 실밥이 맞다면 다시 치과를 내원하여 실밥을 제거하는 것이 필요합니다. 엑스레이 상에서 임플란트 픽스쳐 식립은 잘되어 있습니다. 따라서 실밥 잔류되어 있는 것만 제거하시면 될 것 같습니다.
아무쪼록 저의 답변이 문제 해결에 작게 나마 도움이 될 수 있기를 기원드립니다. 항상 건강하고, 행복하세요^^
정진석 치과의사 드림
안녕하세요. 이정현 치과의사입니다.
사진상으로는 실밥이 보이진 않습니다. 실밥처럼 보이는것은 잇몸절개라인이 그렇게 보이는것으로 보입니다.
만약 실밥이 남아있다면 꼭 제거하셔야합니다. 사진상으로 매듭이 보이지 않지만, 잇몸을 벌렸을때 매듭이 확실히 보인다면 치과에 한번 방문해보시기 바랍니다.
엑스레이상으로 식립이 잘 되어있습니다.
걱정되신다면 치료받은 치과에서 상담을 받아보시기 바랍니다. 감사합니다.
안녕하세요. 장인아 치과위생사입니다.
실밥이 남아 있다면
치과방문해서 확인하면 좋을것 같습니다.
녹는실을 쓰는 경우도 있기는 합니다.
사진상 이상이 있어 보이지는 않습니다.
도움이 되기를 바랍니다. 건강하세요.
안녕하세요. 김용균 치과의사입니다.
방사선사진에서 임플란트 식립은 잘된것 같습니다.
임플란트 식립부위에 실밥이 남아있다면 염증이 생길수 있으므로 치과에서 가셔서 제거해주는것이 좋습니다.

