강아지 담낭점액종 수술 없이 호전되기는 어려울까요?

반려동물 종류

강아지

11살 4.7kg 포메 남아입니다.

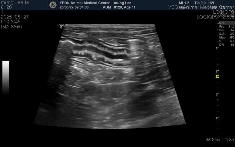
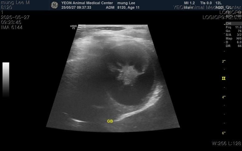
구토, 식욕저하, 기력저하로 내원해서 진료,검사 받아보니 염증, 간, 담낭 등 수치가 심하게 높다고 했고 빠른 입원치료와 담낭절제수술을 안내받았습니다.

물만 먹어도 구토를해서 약도 못먹을것 같다하고.. 입원비와 수술비가 도저히 감당이 안될것 같은데 호전될 가능성이 전혀 없는걸까요?

약물치료는 전혀 효과를 보지 못할까요?

그리고 십이지장에 크론병?도 의심된다고 하는데 담낭 치료와는 치료방법이 상극이어서 담낭 먼저 제거하고 스테로이드치료가 필요하다고 안내받았습니다.

자료 보시고 소견 말씀 부탁드립니다..

1개의 답변이 있어요!

  • 안녕하세요. 이은수 수의사입니다.

    담낭이 파열했을 가능성을 충분히 고려해야 하는 상태로 보이므로 비선택적 수술 즉, 반드시 수술해야 하는 상태 가능성이 높습니다. https://diamed.tistory.com/341 파열전에 수술하는것에 비해 사망 가능성이 높아진 상태이지만, 비선택적으로 반드시 수술해야 하는 상태로 판단됩니다. 주치의와 진솔한 대화 후 수술 진행하시기 바랍니다.