아하
  • 토픽

  • 스파링

  • 잉크

  • 미션


의료상담

충분히활기가넘치는군만두

충분히활기가넘치는군만두

뇌mri 및 ct상 사진 봐주세요ㅠㅠ

성별

남성

나이대

30대

기저질환

고지혈증

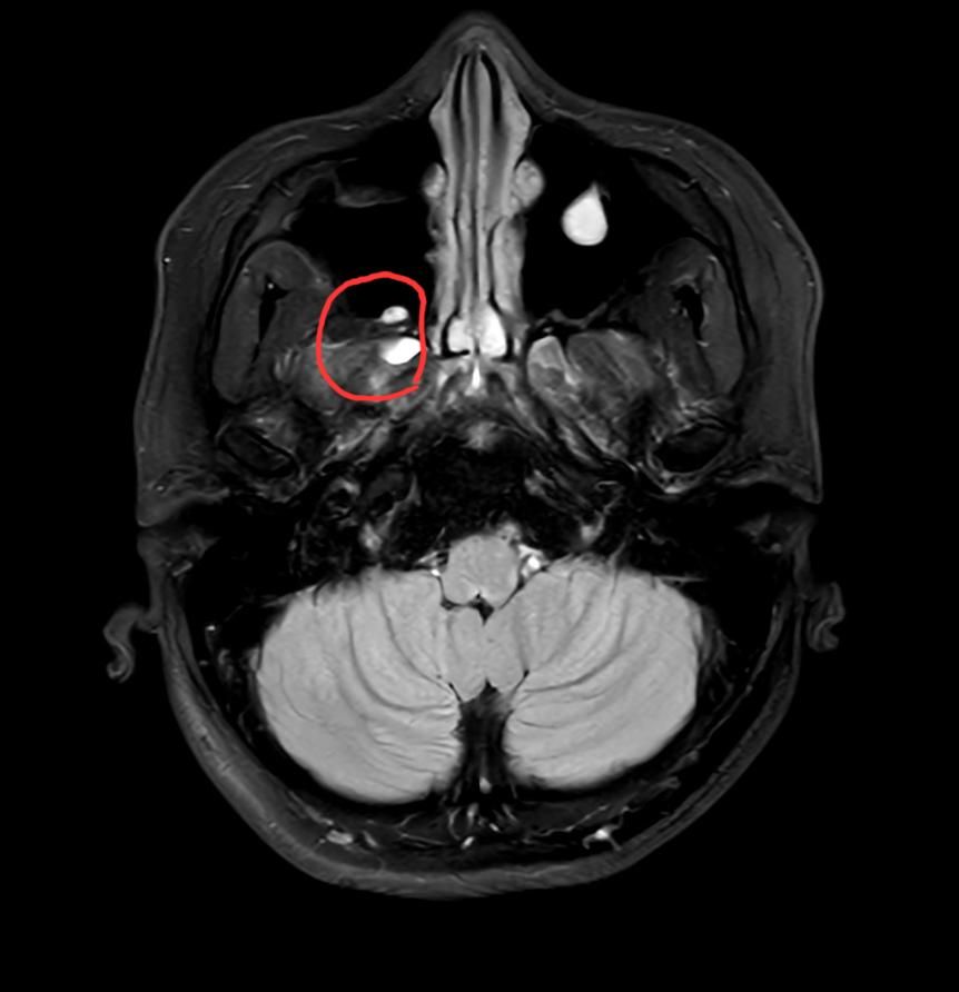
한쪽 부비동에 혹부리처럼 물혹이 있는 것은 알고 있었는데 빨간 동그라미 친 부분의 흰색(or덩어리)는 무엇인지 알 수 있을까요?! 처음 보아서 궁금해서요.

  • 1번 째 사진
  • 2번 째 사진

아직 답변이 없어요.