홈
토픽
스파링
잉크
미션
전문가 신청
베리몰
나도 질문하기
의료상담
까칠한물개16
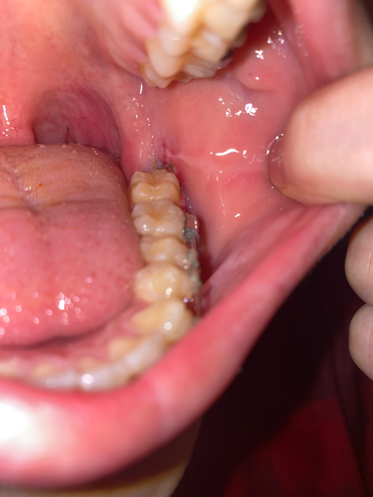
밥을 먹을때 혀를 움직이면 아프고 평상시에도 통증이있습니다. 통증이 그렇게 심하지는 않는데 어제는 거의 통증이 없다가 오늘 조금 다시 아프니 걱정이 되네요.
답변 부탁드립니다!
사진 보기
4개의 답변이 있어요!
김철진 치과의사
가까운우리치과
∙
안녕하세요. 김철진 치과의사입니다.
드라이 소켓은 감염으 일종으로 통증도 심하지만 냄새도 많이 납니다. 혹시나 증상이 잇다면 치과에 가셔서 소독을 한번 받아보세요.
평가
응원하기
안상우 치과의사
목동안치과의원
안녕하세요. 안상우 치과의사입니다.
사진으로만은 드라이 소켁의 여부를 알기 힘듭니다.
드라이 소켓이 있는경우 통증이 심하고 냄새가 심하게 나게 됩니다.
정확한 확인을 위하여 치과에서 자세.한 진료를 받아보시길 권장 드립니다.
탈퇴한 사용자
안녕하세요. 김주혁 치과의사입니다.
사진 상으로는 정상적인 치유 과정으로 보이며 4일차에 약간의 통증이 있는 것은 정상적인 상태 이므로 걱정 안하셔도 괜찮습니다
혀나 손 등으로 발치 부위를 자극하지 않아야 하며, 가글 등을 사용해 해당 부위를 청결하게 관리하는 것이 좋습니다
김지훈 치과의사
메가
안녕하세요. 김지훈 치과의사입니다.
드라이소켓은 극심한 통증과 악취로 응급실을 가야할 정도입니다. 걱정하실 필요 없습니다.