아하
  • 토픽

  • 스파링

  • 잉크

  • 미션


의료상담

고귀한종다리194

고귀한종다리194

채택률 높음

볼 내부가 계속 씹힙니다. 입 안 볼살이 아파요

제목 그대로입니다. 가만히 입을 다물고 있으면 양 볼쪽 입안이 위, 아래 어금니 사이로 계속 씹힙니다. 씹혀있는 상태로 자국까지 나 있어요.

살이 찐 것도 아닌데 왜 이럴까요? 헐 것 같습니다.

5개의 답변이 있어요!

  • 정진안 치과 전문의

    정진안 치과 전문의

    스마일온서울 교정치과(건대입구)

    안녕하세요. 정진안 치과 전문의입니다.

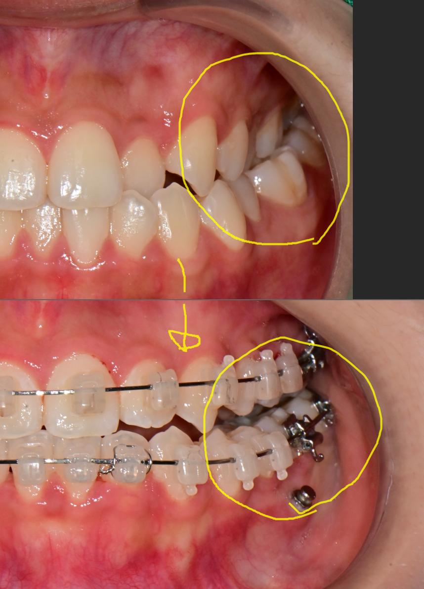
    위 사진처럼 어금니가 반대로 물리는 경우라면
    아래 사진처럼 교정치료를 통해서 개선을 합니다.

    이런 경우가 아니면 보통은
    한 번 잘못 씹어서 부어오른 잇몸을 또 씹게되고 해서 불편한 경우일겁니다~!

  • 안녕하세요. 한성미 치과위생사입니다.

    볼이 어쩌다 한번 씹히면 씹힌 부분이 붓기 때문에 더 자주 씹힐 수 있습니다. 그래서 음식을 드실 때 좀 더 주의해서 씹으셔야 하고, 상처부위에 구내염연고를 발라주시면 좋습니다.

  • 안녕하세요. 장인아 치과위생사입니다.

    지방이 많은 경우 외에도 부정교합, 사랑니 등의 원인으로 볼씹힘이 있을수 있으니 치과에 내원하여 확인하면 좋을것 같습니다. 건강하세요

  • 안녕하세요. 최석민 치과의사입니다.

    보철물을 새로했다면 적응하는과정에서 그럴 수도 있고요, 치아 각도상 벌어져 있으면 볼을 자주 씹게될 수도 있습니다 교정이 필요한 케이스일지 한번 치과가보세요

  • 안녕하세요. 안상우 치과의사입니다.

    볼이 씹히는 원인은 여러 가지가 있을 수 있습니다. 그 중에서 하나는 치아에 너무 강한 힘을 가하는 것입니다.

    치아에 힘이 많이 가해지게 되면 연조직이 치아 쪽으로 밀리면서 치아가 볼을 씹을 수 있습니다. 이런 경우 치아에 가해지는 힘을 줄여준다면 해당 증상을 줄이는데 도움이 될 수 있습니다.