의료상담
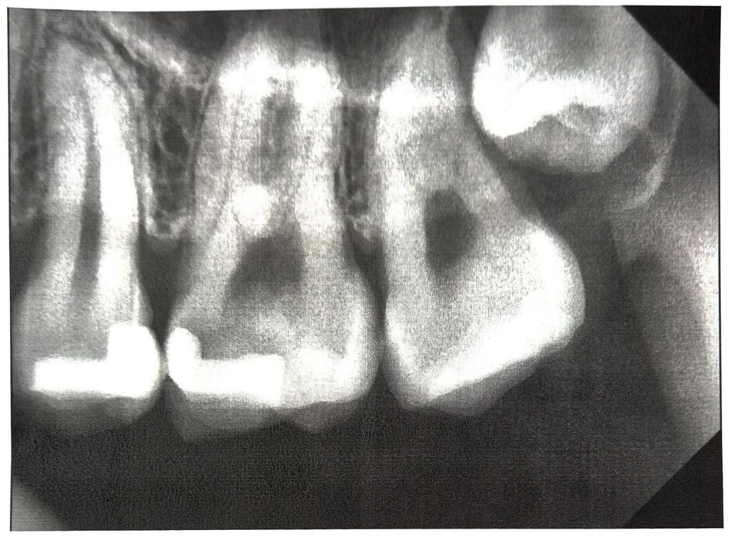
이 사진 치근단 사진이 맞나요????
그냥 파노라마 확대한 것 아닌가요? 너무 흐릿해서요..
파노라마 사진인지 치근단 사진인지 판별해주세요!!!!!!!!!!
55글자 더 채워주세요.
5개의 답변이 있어요!
안녕하세요. 송우식 치과의사입니다.
파노라마 사진은 치아전부가 다 나옵니다. 지금 사진은 치아 몇개만 보입니다. 원본이라면 치근단 사진입니다. 그러나 파노라마 사진을 자른 것일 수도 있습니다.
안녕하세요. 김지훈 치과의사입니다.
사진이 흐리지만 우측편에 턱관절 뼈의 양상이 살짝 보이는 것으로 보아 파노라마 가능성이 높습니다.
안녕하세요. 김철진 치과의사입니다.
원본이 아니고 프린트를 한거 같습니다. 프린트를 하면 저렇게 흐릿하게 보일수 밖에 없을것같습니다.
안녕하세요. 송준범 치과의사입니다.
사진 화질이 몹시 안좋긴 합니다만 치근단 사진이 맞긴 한 것으로 보입니다. 오른쪽 위아래 모서리가 짤려있는게 특징입니다.
안녕하세요. 최석민 치과의사입니다.
네 파노라마 사진 잘라서 확대했을 수도 있습니다. 해상도가 다소 낮아보입니다. 그게 아니라 진짜 치근단 사진이라면 필름 수현상, 초점 이상, 과노출 등으로 퀄리티가 낮은 사진입니다.

