아하
  • 토픽

  • 스파링

  • 잉크

  • 미션


의료상담

털털한하늘소292

털털한하늘소292

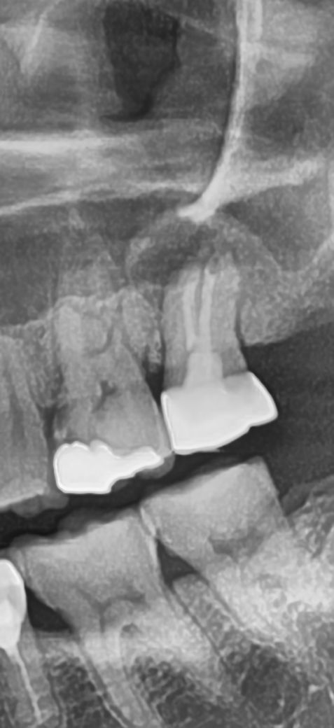
엑스레이상으로 충치가 확인되나요?

끝에서 2번째 치아

크라운한 지 10년 넘었고 최근 아플때도 있고 아닐 때도 있는데 병원마다 진단이 달라서 여쭤봅니다.

충치 확인이 되나요? 치료해야 할까요?

  • 1번 째 사진

5개의 답변이 있어요!

  • 정진석 치과의사

    정진석 치과의사

    대학병원 통합치의학전문의

    안녕하세요. 정진석 치과의사입니다.

    끝에서 2번째 치아에 충치가 있습니다. 다만 해당 부위의 충치는 치료하기가 매우 어려우며 잇몸 아래 그리고 뼈 바로 위에 있어 치료가 어려울 수 있습니다. 이러한 경우라면 사용할때까지 사용하고 추후 임플란트 등의 치료를 해야할 수도 있습니다.

    아무쪼록 저의 답변이 문제 해결에 작게 나마 도움이 될 수 있기를 기원드립니다. 항상 건강하고, 행복하세요^^

    정진석 치과의사 드림

  • 안녕하세요. 정경호 치과의사입니다.

    질문하신 치아 보철물 하방으로 이차충치로 의심되는 방사선투과상이 조금 보이는 듯 하나, 정확한 진단을 위해서는 치근단방사선사진 촬영 및 임상검사까지 해보아야합니다.

  • 안녕하세요. 안상우 치과의사입니다.

    크라운을 한 치아의 충치는 보통 트라우의 경기 부에서 시작하게 됩니다. 사진으로 봤을 경우 크라운의 경계 부위가 어둡게 보이긴 하지만 충치라고 단정하기는 어렵습니다.

    정확한 확인을 위해서는 해당 부위에 프루빙 등으로 인해서 실제적으로 충치가 있는지 물리적으로 확인을 해보는 것이 좋습니다.

  • 안녕하세요. 최석민 치과의사입니다.

    왼쪽 끝에서 두번째 치아는 크라운은 아니고 인레이로 떼운 치아입니다

    인레이 하방 약간의 충치 소견이 보이나 확정적이진 않습니다

    작은 치근단 방사선사진을 찍어봐야 합니다

  • 안녕하세요. 김철진 치과의사입니다.

    엑스레이 상으로 보면 위쪽 뒤에서 두번째 치아 사이에 충치가 잇어 보입니다. 치료를 하시는게 좋을것같습니다.