아하
  • 토픽

  • 스파링

  • 잉크

  • 미션


의료상담

의젓한미어캣174

의젓한미어캣174

25.05.01

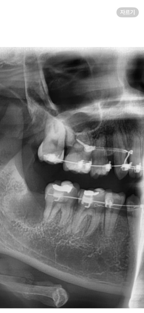
교정중입니다. 잇몸뼈가 흡수된건가요?

상악 어금니 사이 크게 어두운 삼각형부분 잇몸뼈가 흡수된건가요? 교정중 각도때문에 저렇게 보일수있는건지 적극적인 치료가 필요한 상황인지 걱정되고 궁금합니다. 교정하면서 언젠가부터 저부분 블랙트라이앵글이 생겼습니다.

최근 사랑니를 뺐는데 사랑니치과원장님, 교정치과원장님, 동네치과원장님 모두 이 엑스레이를 보셔도 이부분에 대해서 별 말씀은 없으셨습니다. 예전에는 이렇지 않았던것같은데 어떤 상황과 연유로 저렇게 보이는건가요?

  • 1번 째 사진

4개의 답변이 있어요!

  • 김지훈 치과의사

    김지훈 치과의사

    메가

    25.05.03

    안녕하세요. 김지훈 치과의사입니다.

    상악 어금니 사이 크게 어두운 삼각형부분 잇몸뼈가 흡수된건가요?

    -> 교정중에 그럴 수 있습니다.

  • 안녕하세요. 김철진 치과의사입니다.

    파노라마 사진 각도 떄문에 그렇게 보일수 잇고 저 부분은 치아 사이가 보이는거일수도 있습니다.

  • 안녕하세요. 안상우 치과의사입니다.

    교정을 할 때 일시적으로 치아에 과도한 교정력이 가해지게 되면 치아가 치조골에서 분리가 되면서 사진처럼 빈 공간을 보일 수 있습니다. 대부분 교정이 진행되면서 해당 부위는 치조골로 차오르기 때문에 너무 걱정하지 않으셔도 될 것으로 생각됩니다.

    자세한 확인을 위해서 치과에서 진료를 받아보는 것을 권유드립니다.

  • 안녕하세요. 최석민 치과의사입니다.

    엑스레이 사진 비포, 애프터가 있다면 좀 더 비교하여 도움되는 답변을 드릴 수 있을 것 같네요. 보통 교정 중에는 잇몸, 잇몸뼈가 흡수되는 경향이 있습니다.