의료상담
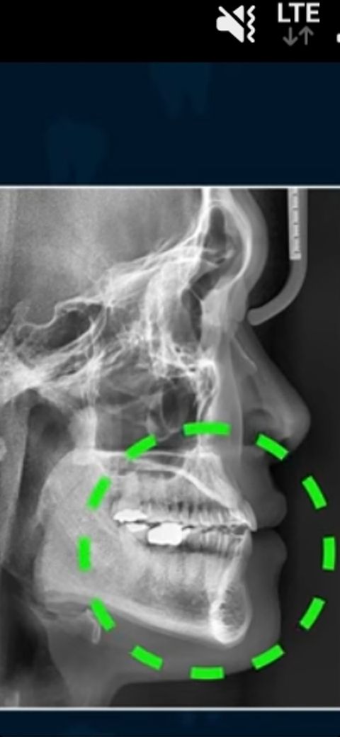
상악이 꺼진건가요 아니면 하악이 발달하고 상악이 정상인건가요
1.상악이 꺼진건가요 아니면 하악이 발달하고 상악이 꺼진건가요
2.코가 낮은 편인가요 높은편인가요
두개의 질문에 답변해주시면 감사하겠습니다
궁금 합니다
1개의 답변이 있어요!
안녕하세요. 김철진 치과의사입니다.
엑스레이만으로는 판단하기 어렵고 교정 분석을 해야 정확히 판단을 하실수 잇습니다. 저 사진을 찍으셧다면 교정 상담을 받으신거 같은데 결과를 알려주실꺼에요.
1.상악이 꺼진건가요 아니면 하악이 발달하고 상악이 꺼진건가요
2.코가 낮은 편인가요 높은편인가요
두개의 질문에 답변해주시면 감사하겠습니다
궁금 합니다
안녕하세요. 김철진 치과의사입니다.
엑스레이만으로는 판단하기 어렵고 교정 분석을 해야 정확히 판단을 하실수 잇습니다. 저 사진을 찍으셧다면 교정 상담을 받으신거 같은데 결과를 알려주실꺼에요.