아하
  • 토픽

  • 스파링

  • 잉크

  • 미션


의료상담

선량한파카217

선량한파카217

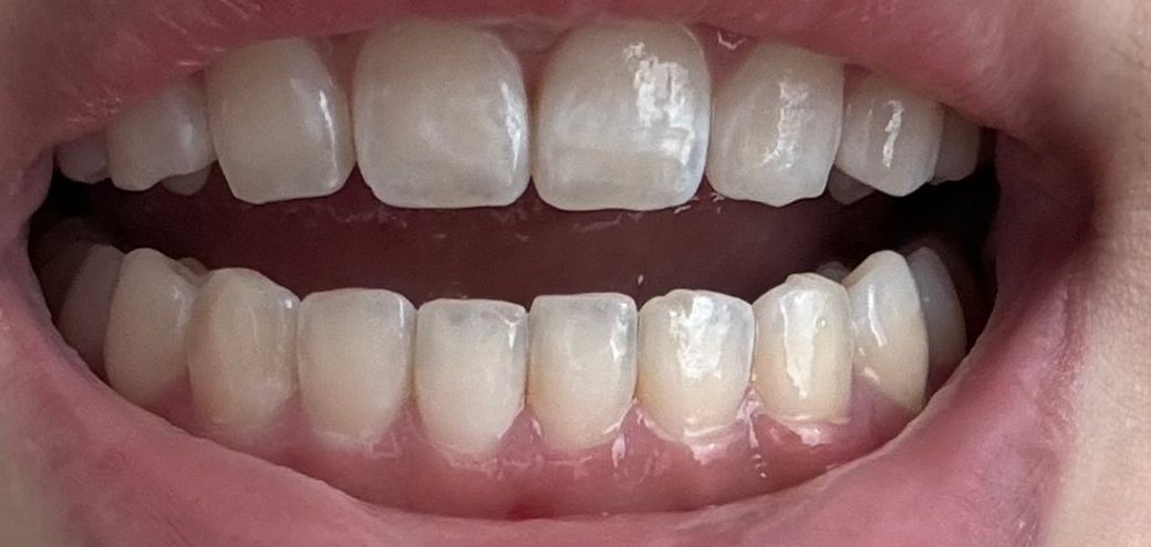
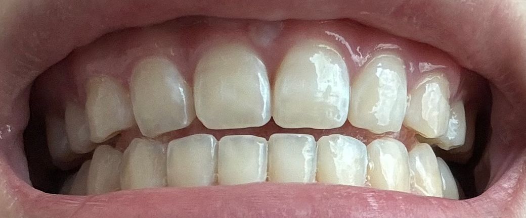
치아교정 후 치아 높이 안 맞을 수 있나요?

교정 끝나고 유지 장치한 지 7년 정도 된 거 같은데 어느 날 거울을 보니까 아랫니 앞에 두 개 치아가 높이가 안 맞는 거 같아요... 원래 안 그랬던 것 같은데 뭐가 문제인 건지 이걸 재교정까지 해야 할 정도인지 궁금해요

  • 1번 째 사진
  • 2번 째 사진
  • 3번 째 사진

5개의 답변이 있어요!

  • 김지훈 치과의사

    김지훈 치과의사

    메가

    안녕하세요. 김지훈 치과의사입니다.

    앞니의 높이가 다를 수는 있습니다. 교정을 한다고 해서 높이가 다시 맞아지진 않으며 별 문제가 되지도 않습니다.

  • 안녕하세요. 송우식 치과의사입니다.

    교합에 특별히 이상이 있지 않은 경우에는 문제가 되지 않습니다. 길이가 달라서 신경이 많이 쓰이는 경우에는 긴 치아를 다듬을수는 있습니다.

    궁금증 해소에 도움이 되시길 바라며, 도움이 되신 경우 평가 별점 5개 ★★★★★ 부탁드립니다.

  • 안녕하세요. 김철진 치과의사입니다.

    치아 높이 보다는 교합이 더 중요합니다. 교합이 괜찮다면 큰 문제가 있는건 아니니 너무 걱정하지마세요.

  • 안녕하세요. 안상우 치과의사입니다.

    교정을 하고 난 다음에 유지. 장치를 잘 장착을 하지 않거나 유지장치가 탈락하게 되면 치아가 이동할 수 있습니다. 치아가 이동했다고 해도 특별한 교합간섭이 발생하지 않는다면 그대로 사용할 수도 있습니다. 자세한 확인을 위해서 교정치과에서 진료를 받아보는 것을 권유드립니다.

  • 안녕하세요. 최석민 치과의사입니다.

    1. 미용목적 교정이라도 치아를 아주 0.1mm의 오차도 없이 배열하진 않습니다. 삐뚤빼뚤하지 않게 올바르게 배열되었고, 어금니가 잘 맞물리면 교정치료 목표는 어느정도 달성한 것입니다.

    2. 현재 아래 앞니 정도의 차이라면 재교정까지는 필요없고 양 옆 앞니를 아주 살짝씩만 다듬으면 조화로울 것 같습니다.