아핫뉴스실시간 인기검색어
아핫뉴스 화산 이미지
화산 아이콘 11
모범택시3 사기조직 추적
많이 본
아하

의료상담

치과

베이글
베이글

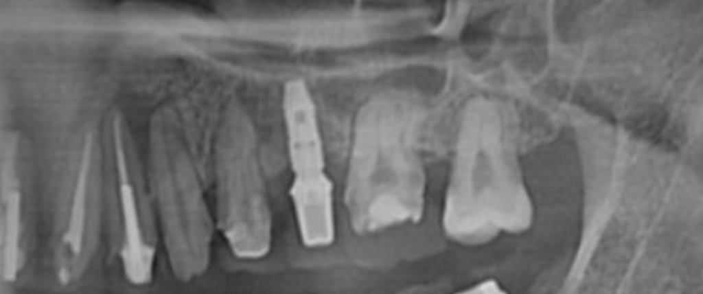
Ct로 임플란트 투바디인지 원바디인지 알 수 있을까요?




혹시 이 사진을 보고 일체형인지 투바디인지 알 수 있을까요?

( 지대주 제거가 가능한건지)

아니면 씨티로는 모르고 직접 열어봐야 알 수 있나요?

존경하는 의사선생님 이게 원바디인지 투바디인지 알 수 있다면 답변해 주시면 감사하겠습니다



  • 1번 째 사진
1개의 답변이 있어요!
  • 안녕하세요. 김철진 치과의사입니다.

    임플란트에 어벗트 먼트가 올라간게 투바디로 임플란트를 진행한거 같습니다. 안쪽에 나사를 풀면 지대주는 제거 가능합니다.