아하
  • 토픽

  • 스파링

  • 잉크

  • 미션


의료상담

한결같은앵무새172

한결같은앵무새172

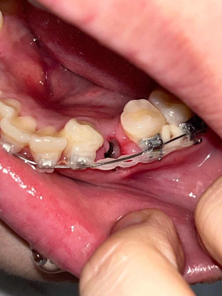
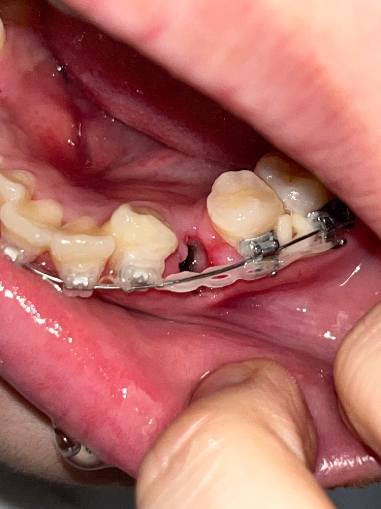
교정발치 3일차 드라이소켓인가요 ㅠㅠ




아플때마다 진통제 먹으면 괜찮아집니다 ㅜㅜㅠㅠ 근데 오늘 조심히 먹는다고 라면 먹긴했는데 그것때문일까요 ㅠㅠ?? 갑자기 어느순간부터 입안에서 역한맛이 나더니 악취가 심하게 나더라고요 드라이소켓일까요?? 병원 바로 가는게 낫겠죠?

  • 1번 째 사진
  • 2번 째 사진
  • 3번 째 사진

3개의 답변이 있어요!

  • 김지훈 치과의사

    김지훈 치과의사

    메가

    안녕하세요. 김지훈 치과의사입니다.

    사진 상 애매하기는 합니다. 통증이 극심하고 냄새도 심하게 난다면 치과를 가시는 게 좋겠습니다.

  • 안녕하세요. 김철진 치과의사입니다.

    통증이 심하시고 냄새가 많이 나면 드라이 소켓일 가능성이 있으니 치과에 가셔서 소독을 받아보시는게 좋을것같습니다.

  • 안녕하세요. 안상우 치과의사입니다.

    사진으로 봤을 경우에는 발치한 후에 생겨야 할 혈병이 제거된 것으로 보입니다 혈병을 제거되었을 경우 내부의 이물질이 쉽게 들어가기 때문에 냄새가 날 수 있으며 드라이 소켓이라면 해당 부의 통증이 심할 것으로 생각됩니다.

    통증이 심하고 혈병이 없으며 악취가 난다면 드라이 소켓일 가능성이 있기 때문에 치과에서 진료를 받아 보는 것이 좋습니다.