아하
  • 토픽

  • 스파링

  • 잉크

  • 미션


의료상담

편안한개개비162

편안한개개비162

코로나 전 x-ray 사진과 이후 x-ray 사진 판독 부탁드립니다

성별

남성

나이대

40

기저질환

공황장애, 위염, 고지혈증

복용중인 약

리바로정

안녕하세요 전문가 선생님

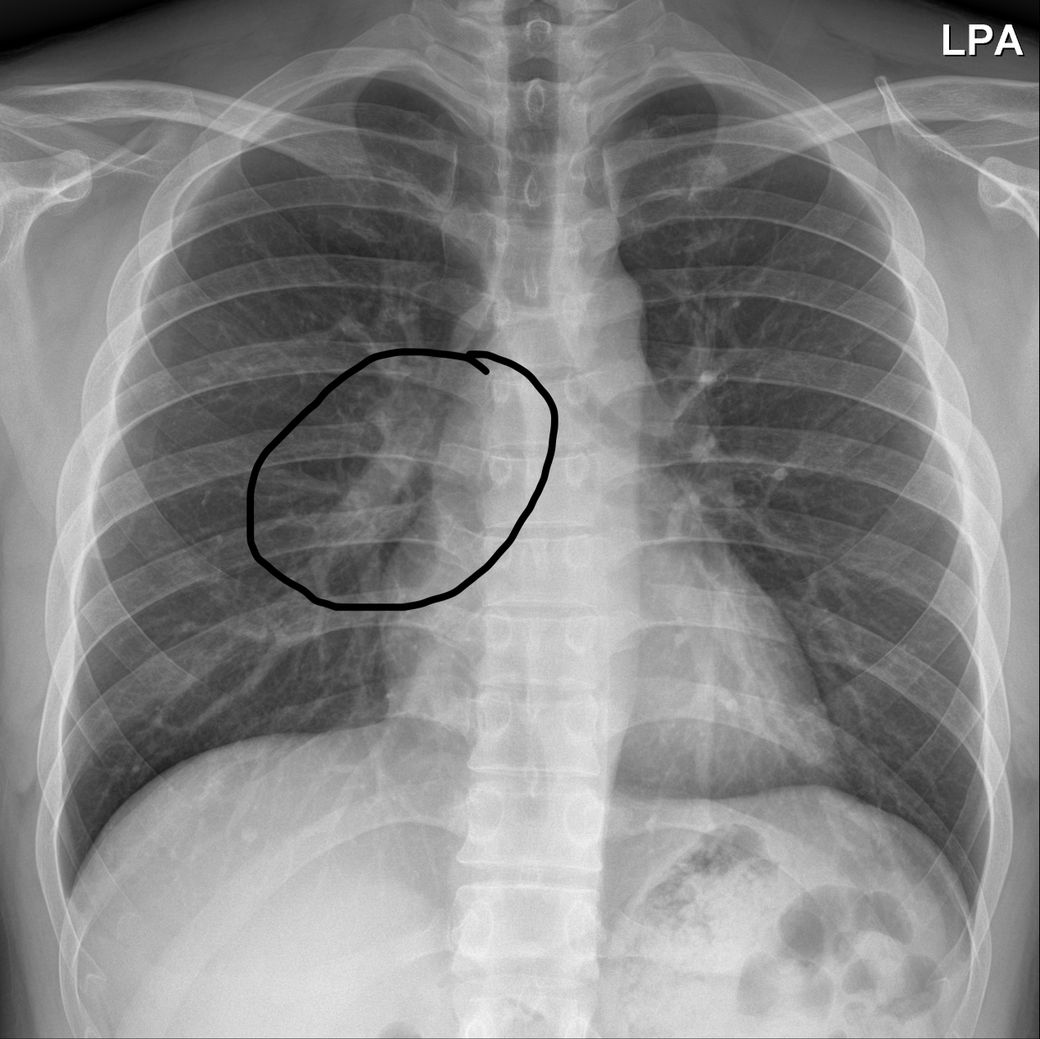
위 사진은 코로나가 없던 2018년의 엑스레이이고 아래는 2022년 코로나 감염 뒤 5개월 뒤 응급실에서 찍은 사진입니다.

엑스레이에서 특별한 이상은 보이지 않는다고 하셨는데, 우연히 2018년 찍은 사진과 비교해보니 동그라미 친 곳 안에 기관지로 보이는 하얀 관이 코로나 전에는 뚜렷하게 깨끗히 이어진 통로가 보이는 반면,

코로나 이후에는 마치 한지에 먹물 한 방울 떨어진 듯한 커다란 점 하나와 괴상하게 울긋불긋 머리털 솟은듯이 뻗어있거나 통로가 끊긴 것처럼 보이는데, 제가 전문가가 아니라서 조언을 구하고자 올립니다.

  1. 코로나로 인한 기관지의 막힘이나 염증의 흔적일 수 있는지?

  2. 아니면 사진 찍는 각도나 명도에 따른 착시인지?

코로나 이전에 비해서 숨이 깊이 쉬어지지 않는 느낌이 들어서 여쭙니다.

  • 1번 째 사진
  • 2번 째 사진

1개의 답변이 있어요!

  • 채홍석 가정의학과 전문의

    채홍석 가정의학과 전문의

    유성선병원

    안녕하세요. 채홍석 가정의학과 전문의입니다.

    업로드해주신 영상의 경우 둘다 큰 이상은 없습니다

    동그라미 친 부분은 폐혈관입니다.

    1. 코로나로 인한 기관지의 막힘이나 염증의 흔적이라고 보기는 어려울 것 같습니다.

    2. 착시라고 보기는 어려울 것 같습니다.