의료상담
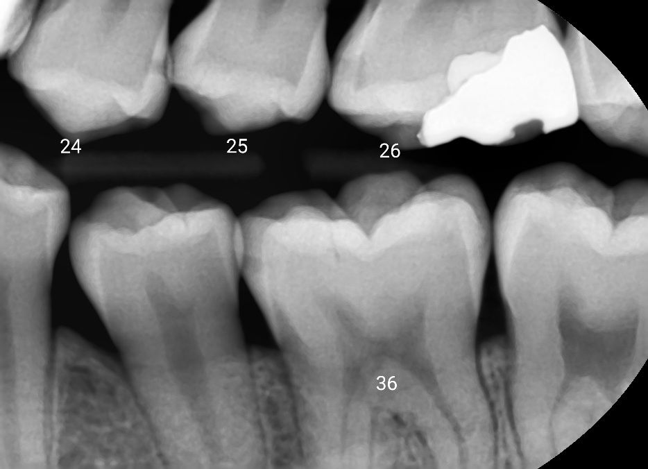
교익방사선 사진 충치있나요?...
어디에 충치가있나요? 레진으로 떼울수있는치아있나요?...몇번에 치아충치가있는지,그리고 각 번호마다 인레이,레진 둘중 뭘해야하는지 알려주시면 감사하겠습니다
55글자 더 채워주세요.
3개의 답변이 있어요!
안녕하세요. 김철진 치과의사입니다.
사진상으로 보면 2425번 사이 25 26사이에 인접면 충치가 잇는거 같고 36번 앞뒤로 치아 사이에 충치가 잇는것같습니다.
안녕하세요. 안상우 치과의사입니다.
사진을 봤을때는 24, 25, 26, 36 치아에 인접면충치가 있는것으로 보입니다.
충치의 여부는 방사선 사진으로만 확인하는 것이 아니라 육안으로도 확인을 해야 하기 때문에 방사선 사진만으로 어떤 치료를 할지 결정하는 것은 어려운 일입니다.
치아의 인접 면에 충치가 생겼을 경우에는 치아의 모양을 만들기 힘들기 때문에 인레이 치료를 하는 경우가 많습니다.
안녕하세요. 최석민 치과의사입니다.
주어진 사진만 봐서는 정확한 진단은 어렵지만 24번 원심(뒷쪽), 26번 근심(앞쪽), 36번 근심(앞쪽)이 '의심'됩니다.
인접면 충치는 우선 추천되는 것은 인레이이고 레진은 치료에 다소 한계가 있을 수 있습니다.
장도연이 추천하는 아하!
앱으로 편리하게 사용해 보세요.