아하
  • 토픽

  • 스파링

  • 잉크

  • 미션


의료상담

귀여운땅콩잼

귀여운땅콩잼

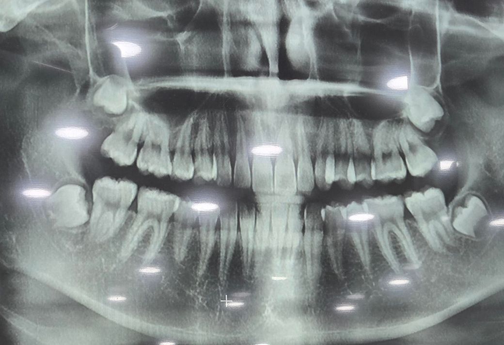
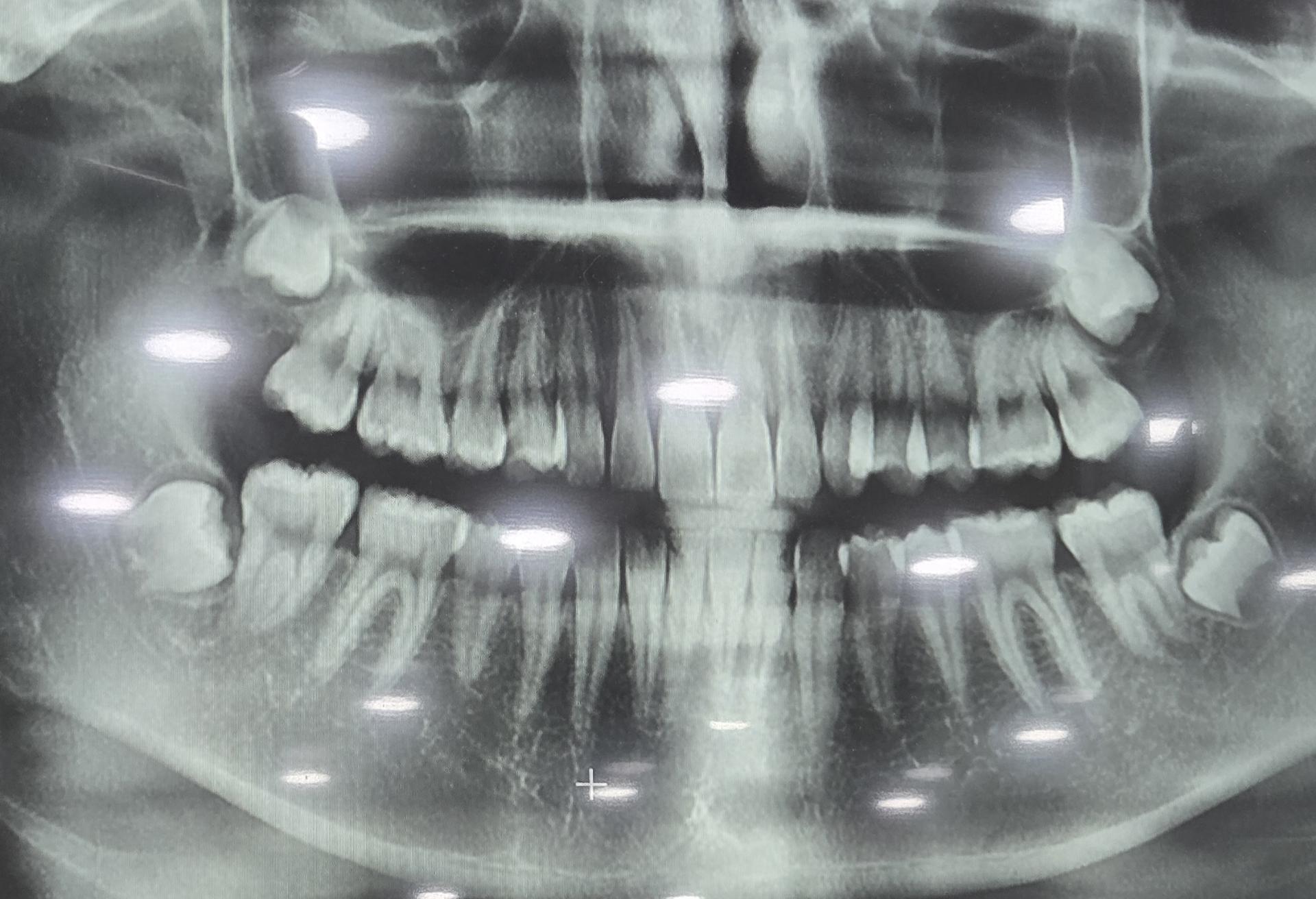
치아 통증 사랑니 때문에 인 거 같은데 발치

제가 10월에 어금니 통증도 있고 아래 쪽 끝 어금니 부분에 잇몸이 달랑거여서 병원에 방문하였고 X-레이를 찍었는데 사랑니가 다 있지만 괜챃다고 자라나고 있다고 하더라구요 또한 위쪽 왼쪽 어금니 통증이 있긴했지만 그때는 많이 아프지도 않고 가끔 아픈 거라 그런가보다 하고 넘겼는데 현재 위쪽 왼쪽 어금니 통증이 심해요ㅠ 끝 어금니와 옆에 있는 어금니 사이가 혓바닥으로만 해도 아프고 왼쪽 끝 어금니 부분에 있는 잇몸 끝을 혓바닥으로 만져보면 어금니 치아모양이 느껴집니다. 하지만 제가 봤을 때 잇몸의 더 이상의 자리가 없고 자라나더라도 옆으로 자라나거나 볼을 씹을 거 같은데 계속 자라나게 둬도 괜찮은 건가요? 그리고 잇몸 부분이 반대쪽에 비해 부어있어요!

요약 정보가 없어요.

  • 1번 째 사진

1개의 답변이 있어요!

  • 김철진 치과의사

    김철진 치과의사

    가까운우리치과

    안녕하세요. 김철진 치과의사입니다.

    사랑니가 맹출하면서 불편감이 생길수도 잇을것같습니다. 잇몸치료를 해보시고 계속해서 불편하시면 사랑니 발치를 하시는게 좋을것같습니다.