아하
  • 토픽

  • 스파링

  • 잉크

  • 미션


의료상담

침착한어치67

침착한어치67

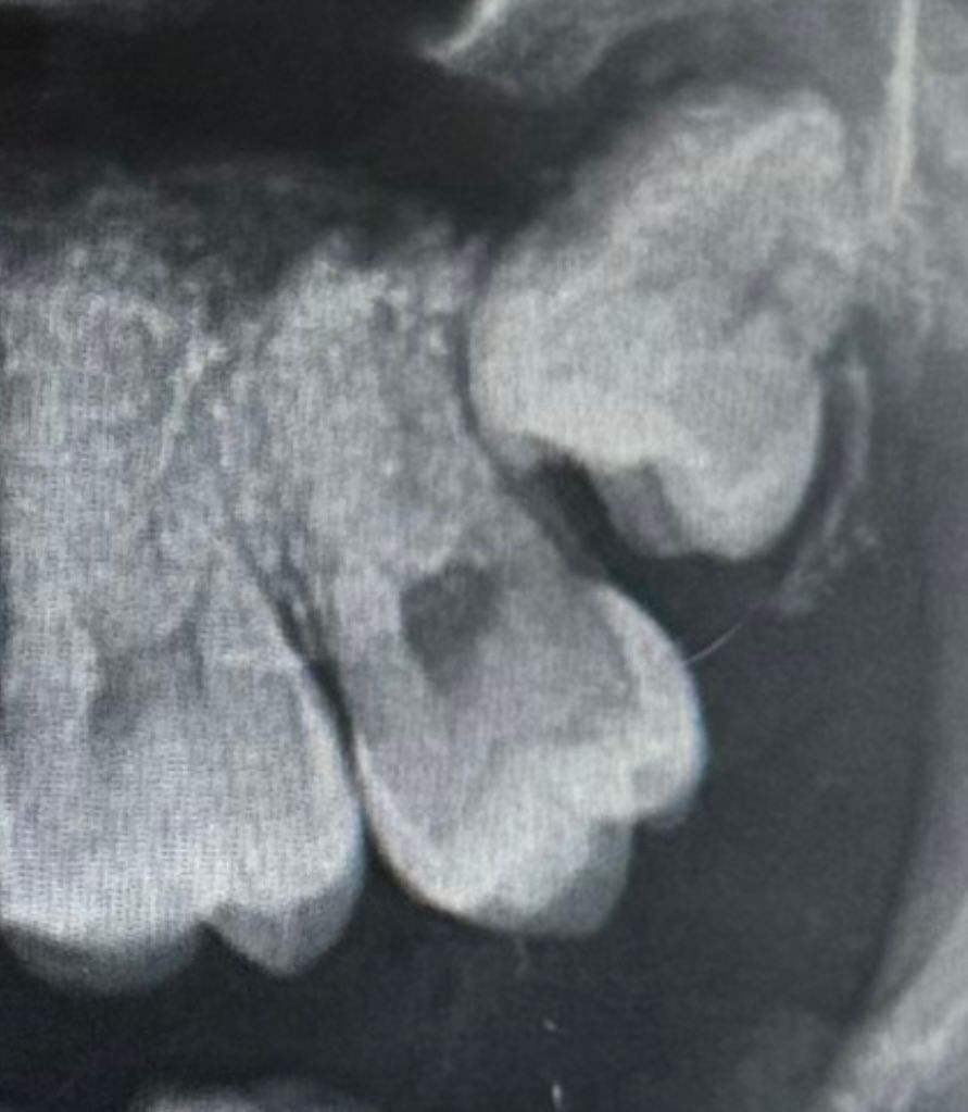
잇몸뼈 안에 있는 사랑니 꼭 뽑아야 하나요?

제가 아랫사랑니는 육안으로도 보여서 뽑아야 하구나 생각했는데 윗사랑니는 아직 안보이고 특히나 아프지도 않습니다. 병원에서는 안 뽑아도 될꺼 같다고는 하는데 사진 보시면 알겠지만 이상하게 나서 걱정이 되네요. 다른 병원가서 뽑을까요?

  • 1번 째 사진
  • 2번 째 사진

5개의 답변이 있어요!

  • 김지훈 치과의사

    김지훈 치과의사

    메가

    안녕하세요. 김지훈 치과의사입니다.

    잇몸안에 완전히 파묻힌 사랑니는 꼭 뽑지는 않으셔도 되지만 뽑고 싶으시면 뽑아도 됩니다.

  • 안녕하세요. 송우식 치과의사입니다.

    현재 사랑니가 앞의 어금에 닿아있어 방치시에 앞의 어금니를 상하게 하기에 빠른시일내에 발치를 하길 권합니다. 사랑니 발치 경험이 풍부한 구강외과 전문의가 있는 병원에서 발치를 권합니다.

    궁금증 해소에 도움이 되시길 바라며, 도움이 되신 경우 '추천' 부탁드립니다.

  • 안녕하세요. 김철진 치과의사입니다.

    잇몸안쪽에 잇어서 크게 불편하거나 특별한 상황이 아니라면 발치를 안하셔도 크게 문제가 되진 않을것같습니다.

  • 안녕하세요. 안상우 치과의사입니다.

    사랑니가 배복되어 있고 문제가 없다면 발치를 할 필요가 없습니다.

    사랑니는 부분적으로 맹출이 되었거나 했을 경우 주변에 이물질이 잘 머물러 있을 수 있는 경우 발치를 하는 경우가 아니 많은데 그렇지 않은 경우에는 발치를 하실 필요가 없습니다.

  • 안녕하세요. 최석민 치과의사입니다.

    사진상으로는 괜찮고, 별다른 증상이 없다면 현재로선 특별히 무리해서 빼줄 필요가 없는 상악 매복 사랑니로 판단됩니다.