아핫뉴스실시간 인기검색어
아핫뉴스 화산 이미지
화산 아이콘 11
스트래티지 비트코인 매입 중단
많이 본
아하

의료상담

치과

우주달나라
우주달나라

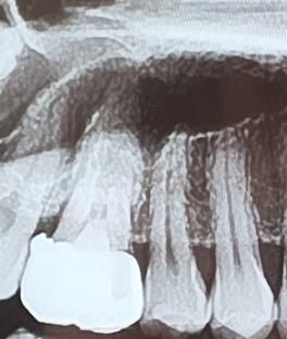
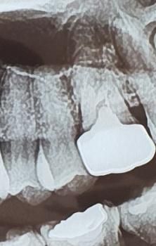
어금니 두개 임플란트해야되는데 사진으로 뼈이식..

양쪽 어금니 임플란트 해야하는데 사진만으론 뼈이식을 해야하는지 알 수 없나요?

뼈이식하면 치료기간을 최소 6개월은 잡아야 할까요?

  • 1번 째 사진
  • 2번 째 사진
3개의 답변이 있어요!
  • 안녕하세요. 김철진 치과의사입니다.

    저정도 상태라면 뼈이식이 필요하진 않을것같고 뼈이식을 하더라도 식립하면서 뼈이식을 조금하면될것같습니다.

    1명 평가
  • 안녕하세요. 최석민 치과의사입니다.

    1. 네 섣불리 저거만 보고 판단하기엔 좀 그렇고, ct를 찍던가 아니면 수술하면서 직접 보고 판단합니다

    2. 뼈이식 없이 했을때보다 조금 더 기간이 추가되긴 합니다만 기간이 얼마나 걸린다 단정지을 수 없습니다.

    1명 평가
  • 안녕하세요. 김지훈 치과의사입니다.

    뼈이식을 많이 하지는 않고 조금 하면 될 것 같습니다. 6개월 정도면, 마무리될 듯 합니다.