아하
  • 토픽

  • 스파링

  • 잉크

  • 미션


의료상담

은근히멋쩍은율무차

은근히멋쩍은율무차

25.05.12

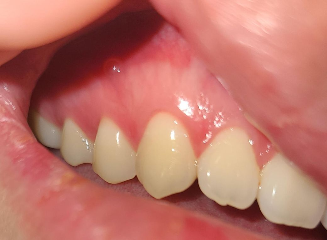
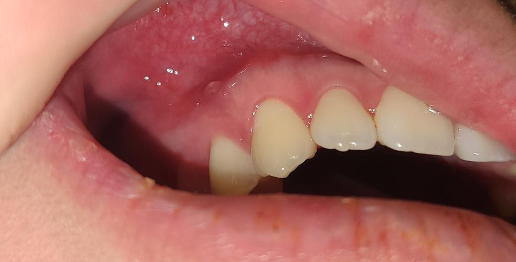
이게 뭔지 확인 부탁드리겠습니다!!

양치한 후에 매끈해진 이빨 혀로 만져보고 있었는데 잇몸 쪽에 구내염과 다르게 이상한 느낌이 들어서 확인해봤는데

이렇게 되어었습니다.

한달전쯤 스케일링 받았었고, 그때 엑스레이 사진도 찍어서 전체적으로 확인했을때 전체적으로 잘 관리했다는 소견을 들었습니다

  • 1번 째 사진
  • 2번 째 사진

4개의 답변이 있어요!

  • 김철진 치과의사

    김철진 치과의사

    가까운우리치과

    25.05.13

    안녕하세요. 김철진 치과의사입니다.

    잇몸에 뾰루지 같은게 생긴거 같습니다. 큰 문제는 아니고 그냥 터트리시면 괜찮으니 너무 걱정하지마세요.

  • 안녕하세요. 정진석 치과의사입니다.

    단순 구내염처럼 보이지 않지만 sinus tract일 가능성도 있어 보입니다. 물론 치과에서 검사할 때 이에 대한 검사를 했을 것으로 보이지만 지속적으로 해당 부분이 나타나 있다면 대학병원 방문 후 연조직 검사를 해보거나 dental-ct 등의 촬영이 필요할 수 있습니다.

    아무쪼록 저의 답변이 문제 해결에 작게 나마 도움이 될 수 있기를 기원드립니다. 항상 건강하고, 행복하세요^^

  • 안녕하세요. 최석민 치과의사입니다.

    바이러스 등의 감염으로 인한 수포가 잇몸에 생긴것으로 보이나 정확한 건 치과에서 확인해봐야 합니다

  • 안녕하세요. 안상우 치과의사입니다.

    사진으로만 봤을 경우에는 점액종으로 보입니다. 점액종은 잇몸에 자극으로 인해서 점막 내부에 조직액이 차면서 생기게 됩니다. 크게 문제가 되지는 않지만 잇몸에 자극이 되는것을 줄이는것이 좋습니다