아핫뉴스실시간 인기검색어
아핫뉴스 화산 이미지
화산 아이콘 11
이재명 특보 베트남 파견
아하

의료상담

기타 의료상담

살짝쿵도전하는오징어튀김
살짝쿵도전하는오징어튀김

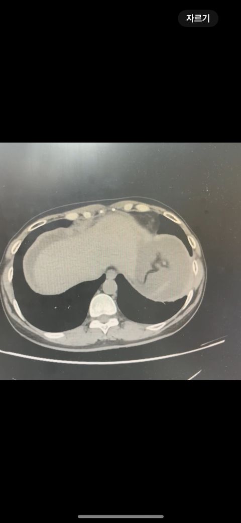
복부 ct 판독 부탁드립니다 (contrast)

성별
여성
나이대
50

결과는 3일 뒤 보긴 하는데 우선 영상만 있는 상태라 영상 캡쳐 한 거 대략적으로라도 확인해주실 수 있나요.. !!!!!!!!!!

  • 1번 째 사진
  • 2번 째 사진
  • 3번 째 사진
  • 4번 째 사진
  • 5번 째 사진
  • 6번 째 사진
  • 7번 째 사진
1개의 답변이 있어요!
  • 안녕하세요. 이영민 의사입니다.

    *** 먼저 답변드리기에 앞서 상기 질문에 대한 답변은 굉장히 제한된 답변이고, 경우에 따라 틀린 답변이 될 수 있습니다. CT의 경우 단면을 연속적으로 봐야 의학적인 설명이 가능하기 때문에 일부 사진만으로는 해석이 어려울 수 있습니다.

    위 사진에서는 비장비대의 가능성과 자궁쪽으로 혹이 일부 보이는 소견이 의심되나, 정확한 판독은 3일 뒤에 받아보시는 것이 도움이 될 수 있겠습니다.

    감사합니다.

    1명 평가