아하
  • 토픽

  • 스파링

  • 잉크

  • 미션


의료상담

겁나맑은연설가

겁나맑은연설가

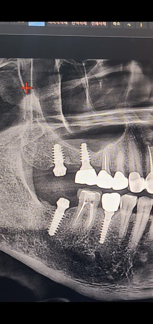
17번 오른쪽 위에 맨 끝부분에 임플란트가 현재 보철이 올라온 상태

17번 오른쪽 위에 맨 끝부분에 임플란트가 현재 보철이 올라온 상태 인데 씹을때 통증이 있고 오른쪽 편두통 까지 오네요

16번과 17번은 상악동 거상술로 인하여 뼈이식을 같이 한다고 하여 1개 값 50만원을 지불 했었고요, ct 상으로 16번, 17번 임플란트 상악동 뼈이식 수술이 잘되었는지 봐주시길 요망합니다. 현재 17번 제거를 심각하게 고려중이 라서요...

  • 1번 째 사진

3개의 답변이 있어요!

  • 김철진 치과의사

    김철진 치과의사

    가까운우리치과

    안녕하세요. 김철진 치과의사입니다.

    보철물이 올라간지 얼마 안된상태라면 오랜기간동안 치아를 사용하지 않아서 적응하는데 시간이 피료 할수 있습니다.

  • 안녕하세요. 최석민 치과의사입니다.

    위 파노라마 사진상으론 별다른 문제 없어보입니다 다만 증상이 지속되면 빼는게 수순입니다

  • 안녕하세요. 안상우 치과의사입니다.

    사진으로는 #16번부위에 골이식 재료가 보이지는 않습니다. 또한 #17 치아 부위는 치조골이 임플란트 고정체가 들어갈 충분한 양이 있기 때문에 상악동 거상을 하지 않아도 되는 상황으로 보입니다.

    임플란트를 하고 통증이 있다면 임플란트가 치조골과 유착이 안됬을수 있습니다. 이런경우에는 재수술이 필요할수 있습니다.