아하
  • 토픽

  • 스파링

  • 잉크

  • 미션


의료상담

겁나맑은연설가

겁나맑은연설가

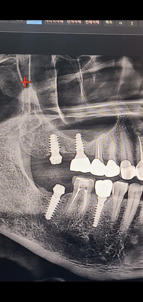
임플란트 상악동 문제는 없는건지요?

17번 오른쪽 위에 맨 끝부분에 임플란트가 현재 보철이 올라온 상태 인데 씹을때 통증이 있고 오른쪽 편두통 까지 오네요

16번과 17번은 상악동 거상술로 인하여 뼈이식을 같이 한다고 하여 1개 값 50만원을 지불 했었고요, ct 상으로 16번, 17번 임플란트 상악동 뼈이식 수술이 잘되었는지 봐주시길 요망합니다. 현재 17번 제거를 심각하게 고려중이 라서요...

  • 1번 째 사진
  • 2번 째 사진

2개의 답변이 있어요!

  • 김철진 치과의사

    김철진 치과의사

    가까운우리치과

    안녕하세요. 김철진 치과의사입니다.

    엑스레이 상으로는 상악동 거상술 및 뼈이식이 잘된거 같습니다. 보철물이 올라간지 얼마 안됫다면 오랜기간동안 치아를 사용하지 않아서 적응하는데 불편감이 잇을수 있습니다.

  • 안녕하세요. 최석민 치과의사입니다.

    임플란트 상악동 문제는 없는건지요? -> 첨부된 엑스레이 사진상 큰 문제는 없어 보입니다, 상악동 뼈이식은 ct 단면상 16번쪽을 봐야 알 수 있습니다