아하
  • 토픽

  • 스파링

  • 잉크

  • 미션


의료상담

곰살맞은비단벌레208

곰살맞은비단벌레208

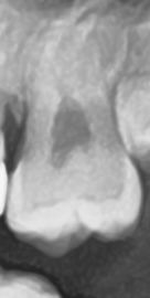
27번치아 교합면에 충치있나요?.

약간 푹들어간 부분이 교합면 충치 맞나요? 레진으로 치료해야한다고해서 어디부분이 충치인가요? 충치가 없는거같기도하고요 오진일수도 있나요?

  • 1번 째 사진

2개의 답변이 있어요!

  • 안상우 치과의사

    안상우 치과의사

    목동안치과의원

    안녕하세요. 안상우 치과의사입니다.

    사진으로만 충치를 판단하기는 힘듭니다.

    해당 부위는 원래 치아가 들어가 있는 부분이기도 하지만 충치의 여부를 확인하기 위해선 육안으로 확인을 하는 것이 더 정확합니다 자세한 확인을 위해서 치과에서 진료를 받아 보세요

  • 안녕하세요. 최석민 치과의사입니다.

    교합면 충치의 경우 방사선 사진보다는 시진(눈으로 보는 것)이 정확합니다. 사진상에서는 약간 충치가 보이는 것처럼 보여지지만 확실하진 않습니다.