아핫뉴스실시간 인기검색어
아핫뉴스 화산 이미지
화산 아이콘 11
송도순 별세 소식
아하

의료상담

치과

억수로근사한코알라
억수로근사한코알라

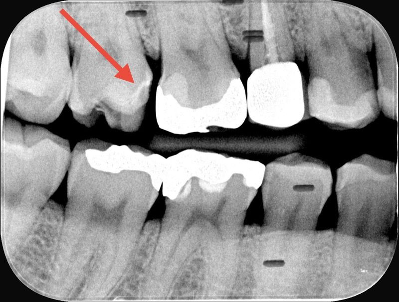
엑스레이 사진에서 어금니 충치가 의심되는지요?

선생님들 안녕하세요.

엑스레이 상으로 보이는 빨간색 화살표가 가르키는 어금니 치아 인접면에서 충치가 의심되나요?

해당 어금니는 인레이 13년전에 씌웠는데 어제 인레이가 떨어져서, 재부착하기 전에 촬영한 엑스레이 사진입니다.

감사합니다. 좋은 하루되세요.

  • 1번 째 사진
4개의 답변이 있어요!
  • 안녕하세요. 김지훈 치과의사입니다.

    인레이가 떨어진 곳에 충치가 보이지는 않습니다. 인레이를 재부착하셔도 될 것으로 보입니다.

    1명 평가
  • 안녕하세요. 김철진 치과의사입니다.

    엑스레이 상으로는 충치가 잇어 보이진 않아 보입니다. 인레이가 잘 맞으면 일단 다시 접착하셔서 사용하시면될것같습니다.

    1명 평가
  • 안녕하세요. 정진석 치과의사입니다.

    해당 부분에서 치아 파절 양상이 잘 나타나 보입니다. 다만 이러한 경우 해당 부분에 약간의 충치는 존재하게 됩니다. 따라서 충치도 제거해야 할 것으로 보여집니다.

    아무쪼록 저의 답변이 문제 해결에 작게 나마 도움이 될 수 있기를 기원드립니다. 항상 건강하고, 행복하세요^^

    1명 평가
  • 안녕하세요. 최석민 치과의사입니다.

    엑스레이 상에서 특별히 심한 이차우식이나 인접면 우식은 없습니다. 같은쪽 아래 어금니 2개가 오히려 이차 우식 의심됩니다.

    1명 평가