아하
  • 토픽

  • 스파링

  • 잉크

  • 미션


의료상담

쑥라떼와대추차

쑥라떼와대추차

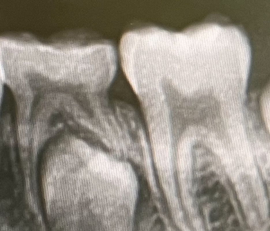
유치와 영구치 사이 인접면 충치 의심이 가는 엑스레이

사진 상의 인접면에 충치처럼 보여 사진 찍은 치과에 문의 하였으나 충치가 없다고 하셨어요.

그래서 두번째 치과에 문의 하였으나 충치가 없다고 하셨고. 이곳에서 사진을 추가로 찍을줄 알았는데 눈으로 검진 하시고 괜찮다고 전체적으로 치료할데 없다고 가라고 하셨습니다. 이 치과는 평이 좋고 한곳에서 오래된 치과인데 비전문가인 제가 충치라고 우기기가 어려워서 그냥 나왔습니다.

파노라마 엑스레이에 저런 모양이 있는데도 충치가 아닐 가능성도 있나요? 그런 경우가 흔한가요?

다른

치과를 또 가봐야 하나 고민이 됩니다.

아이 데리고 치과 가는게 쉽지 않아서요ㅠㅠ

  • 1번 째 사진
  • 2번 째 사진

4개의 답변이 있어요!

  • 김지훈 치과의사

    김지훈 치과의사

    메가

    안녕하세요. 김지훈 치과의사입니다.

    유치의 경우에는 충치의 정도 가 심한 것이 아니라면 꼭 치료를 하지 않아도 되며 그정도로 보입니다.

  • 안녕하세요. 김철진 치과의사입니다.

    사진에 보이는건 충치처럼 보이진 않으니 관리만 잘하면 크게 문제가 되진 않을것같으니 걱정하지마세요.

  • 안녕하세요. 안상우 치과의사입니다.

    사진으로 보이는 부분은 육안으로 보이는 부분은 아니기때문에 육안으로확인을 하기는 어렵습니다. 초기에 생기고있는 매우 작은 충치료 보이며 치실등으로 관리를 한다면 더 커지지 않을 가능성이 높습니다.

  • 안녕하세요. 최석민 치과의사입니다.

    치료가 필요한 정도의 인접면 충치는 아닌 것 같습니다 또한 하방 영구치가 준비가 되어 6개월 내로 유치가 빠질것이므로 치료가 필요없습니다