아하
  • 토픽

  • 스파링

  • 잉크

  • 미션


의료상담

완벽히존경받는긴팔원숭이

완벽히존경받는긴팔원숭이

25.03.24

치과 충치치료 어느 정도까지 해야하나요?

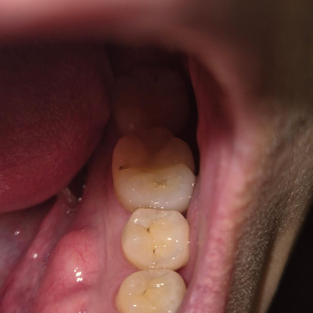
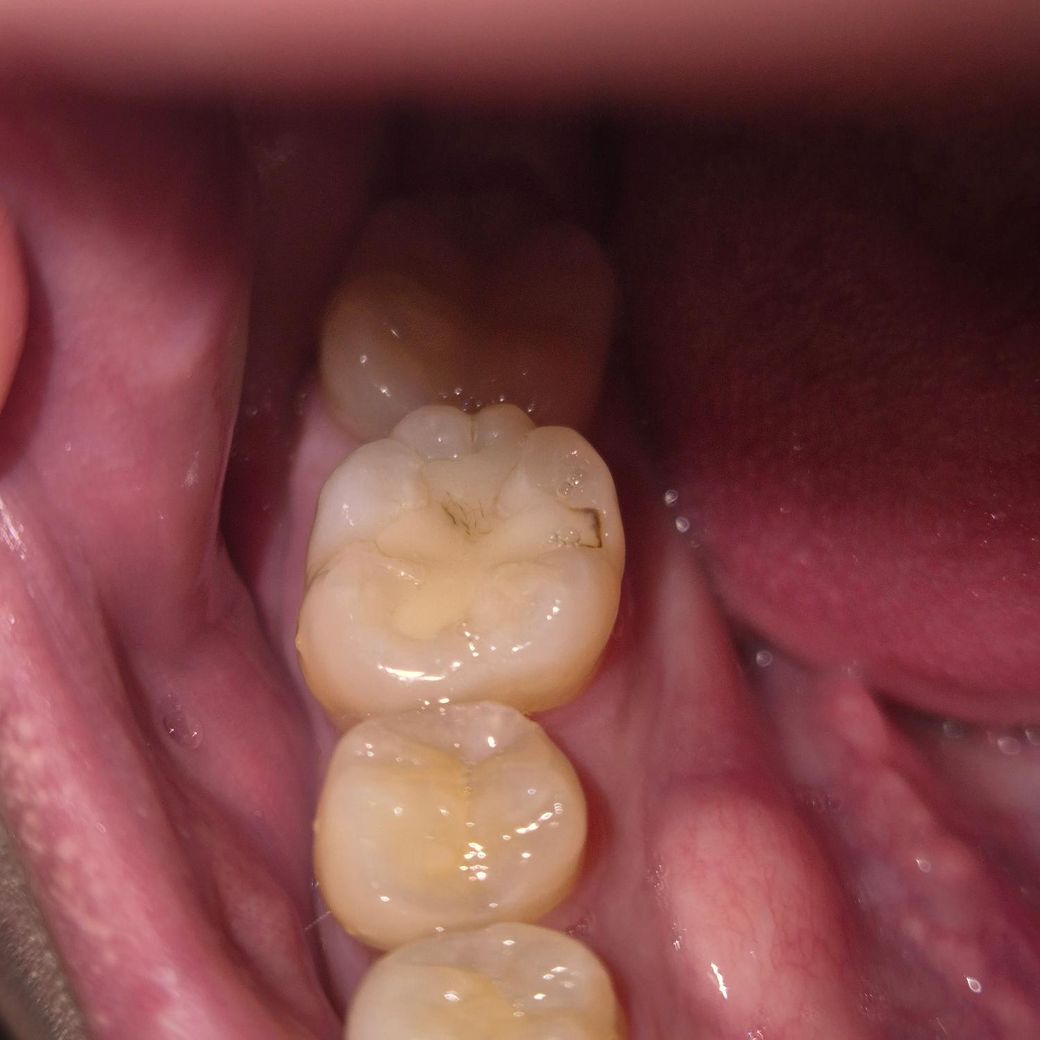
어금니에 검은색 충치가 있는데 어느정도 범위의 치료를 해야할까요?

이전에 십자모양으로 파서 넣어서 치료도 했었는데요.

예상

견적 등 비용도 궁금합니다.

  • 1번 째 사진
  • 2번 째 사진

4개의 답변이 있어요!

  • 안상우 치과의사

    안상우 치과의사

    목동안치과의원

    25.03.26

    안녕하세요. 안상우 치과의사입니다.

    사진으로 봤을 경우에 충치의 범위가 넓지는 않아 보입니다.

    간단한 충치의 경우에는 레진치료만으로도 치료가 가능하기때문에 자세한 확인을 위해서 치과에서 진료를 받아보는 것을 권유드립니다.

  • 안녕하세요. 김지훈 치과의사입니다.

    전체적으로 충치가 있어보이지만, 간단하게 레진으로 치료할 수 있을 것으로 예상됩니다.

  • 안녕하세요. 김철진 치과의사입니다.

    큰 충치는아니라서 간단히 때우시면될것같고 큰 어금니는 조금더 관리하시면서 지켜 보셔도 될것같습니다.

  • 안녕하세요. 최석민 치과의사입니다.

    첫번째 사진의 충전물 주변 검은색은 재료의 착색일 가능성이 높아보이고요

    나머지 충치도 심해보이진 않습니다

    레진 재료로 떼워주면 될 것 같습니다

    레진은 개당 6~10만원입니다