오른쪽(어금니)잇몸부음/오른쪽 볼안쪽 부음/오른쪽 부근만 침삼킬 때 심한 통증!ㅜㅜ
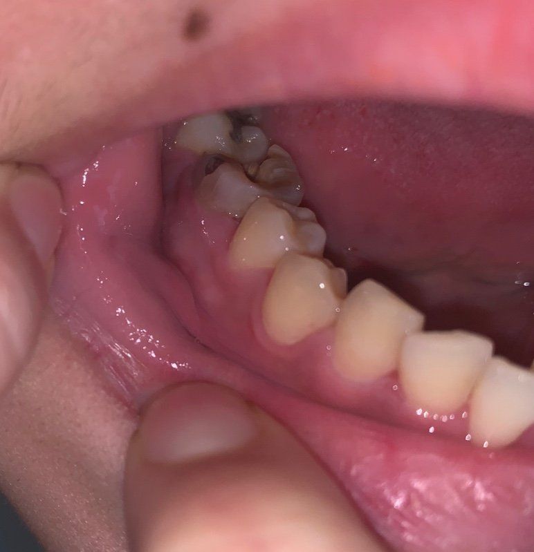
어제 10일 아침에 일어나니 볼안쪽이 심하게 부어있고 거울을 봐도 볼걸이 마냥 오른쪽 볼이 살짝 부어있는게 티가 날 정도였어요.. 그리고 침삼킬때 진저리 칠정도로 목이 아파요.. 목도 전체적으로 아픈게 아니라 오른쪽 부근만 아파요.. 따갑다는 표현이 맞을지.. 상처난데에 물 닿으면 아픈 느낌 불타는 느낌?? 무튼 침을 삼킬때 목이 너무 아파서 그냥 모았다가 한번에 삼키거나 뱉어버려요.. 어제 일요일이라 병원도 다 닫아서 탁센 먹었는데(아침에 한알 저녁에 한알 먹고 잠) 저녁쯤 되니 붓기는 좀 가라앉았어요... 근데 탁센 먹어도 침삼킬 때 목톡증은 통증 정도만 좀 낮아졌지 여전히 아팠어요..ㅠ 지금도 입술 막 움직여보면 왼쪽은 멀쩡한테 오른쪽이 많이 부어서 어금니들에 부벼대는 느낌.. 그래서 이게 이비인후과로 가야하는지 치과로 가야하는지 모르겠네요.. 사진상 보이는 어금니 깨져있는 듯한 치아는 사실 신경치료 다 끝나고 크라운으로 씌웠어야 했는데 돈이 부족하고 비싸서.. 장기간 신경치료만 마친 채 방치된 상태에요.. 그래도 신경치료를 해놔서 그런지 별다른 통증 없이 지내왔는데 갑자기 저 치아 잇몸이 하얗게 부어있고 볼안쪽도 심하게 붓고 ... 혹여나 사랑니때문인가 싶기도 하고.. 근데 왜 목은 타들어갈듯 아픈건지.. 자세한 답변 좀 부탁드려요..ㅠ 제가 월급이 한 3일 이내로 나올 듯 한데.. 여유 돈이 없어.. 몇 일이라도 이 통증을 없앨 수 있는 방법이 있다면 이것도 좀 알려주세요.. 탁센은 목통증에 잘 안드는 듯 해서요..ㅠ
안녕하세요. 정진석 치과의사입니다.
말씀하신 치아 주변으로 염증이 있을 가능성이 매우 높습니다. 보통 한쪽 염증이 심한 경우에는 해당 부위쪽 림프절이 비대해지거나 통증이 생기고 침을 삼킬때도 해당 부위에 통증이 나타날 수 있습니다. 심한 경우에는 비슷한 부위쪽 전체 통증으로 나타날 수 있습니다. 지금 상황으로 보아서는 염증 단계를 넘어 농양일 가능성도 있으므로 치과 방문 후 해당 부위에 대한 치료를 해야 할 것으로 보입니다. 심할 경우에는 배농을 하셔야 합니다. (농을 빼내는 치료)
아무쪼록 저의 답변이 문제 해결에 작게 나마 도움이 될 수 있기를 기원드립니다. 항상 건강하고, 행복하세요^^
정진석 치과의사 드림
안녕하세요. 김바른 치과의사입니다.
사랑니로 인한 지치주위염 혹은 신경치료 중단 후 방치된 치아의 염증 재발 소견으로 보입니다.
일단 파노라마 엑스레이나 구강내 검진 없이는 정확한 답변이 어렵습니다.
가급적 빨리 치과에 내원하셔서 치료받으시길 바랍니다.
안녕하세요. 안상우 치과의사/경제·금융전문가입니다.
사진으로만 봤을 경우에도 우측 하악 1대구치의 치질의 손상이 많이 되어 있는 것으로 보입니다.
신경치료를 마무리 했어도 크라운등의 보철치료를 하지 않으면 메꾼재료가 떨어지거나 안쪽으로 감염이 진행되어 치근단 염증을유발할수 있어요.
가까운 치과에서 검사를 받아보시고 신경관에 감염이 되었다면 재근관치료 등을 받을수 있습니다.
안녕하세요. 이정현 치과의사입니다.
심하게 부종이 있는것으로 보입니다.
우선 정확한것은 방사선사진을 찍어봐야 알겠지만, 현재 해당치아에 치근단농양이 형성되었을 가능성이높습니다.
이런경우 농이 차면서 심하게 붓고 아플 수 있습니다.
발치가 필요할 가능성이 높고, 발치전에 우선 항생제를 몇일 드시고 빼야합니다. 치과에서 우선 검사를 받아보시기 바랍니다. 감사합니다.
안녕하세요. 김철진 치과의사/경제·금융전문가입니다.
치과를 빨리가보시는게 좋을것같네요. 예전에 차료하셧던게 떨어지셔서 치아의 예민한 부분이 노출되신 상태입니다. 치과가셔서 사진을 찍어보시고 치료를 받으셔야될것같습니다
안녕하세요. 장인아 치과위생사입니다.
치아 우식증이 치수까지 침범하면 염증과 통증이 발생하고
치근(치아뿌리), 치조골(잇몸뼈), 주변부위 뼈까지 파괴시킬수 있습니다.
자극이 없어도 통증이 있으며,진통제 효과도 어렵습니다.
빠른 치과 방문 권합니다.
도움이 되기를 바랍니다. 건강하세요.
장도연이 추천하는 아하!
앱으로 편리하게 사용해 보세요.



