홈
토픽
스파링
잉크
미션
전문가 신청
베리몰
나도 질문하기
의료상담
이미낙천적인코브라
성별
여성
나이대
20대
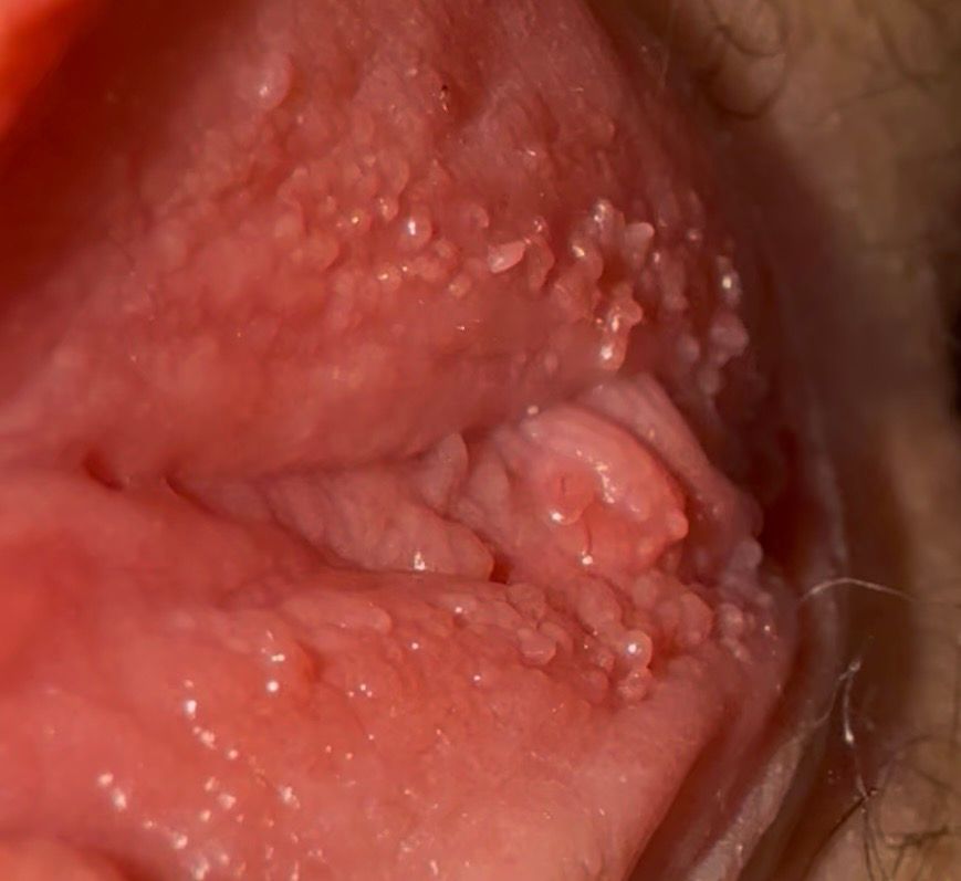
얼마 전에 관계를 하고 이후에 이게 생기고 살짝 간지러운 느낌이 있습니다 최근 컨디션이 안 좋았긴 했는데 성병일 확률이 있을까요?
이게 곤지름인지 질전정유두종인지 궁금해요
사진 보기
아직 답변이 없어요.