아하

의료상담

치과

살가운독수리113
살가운독수리113

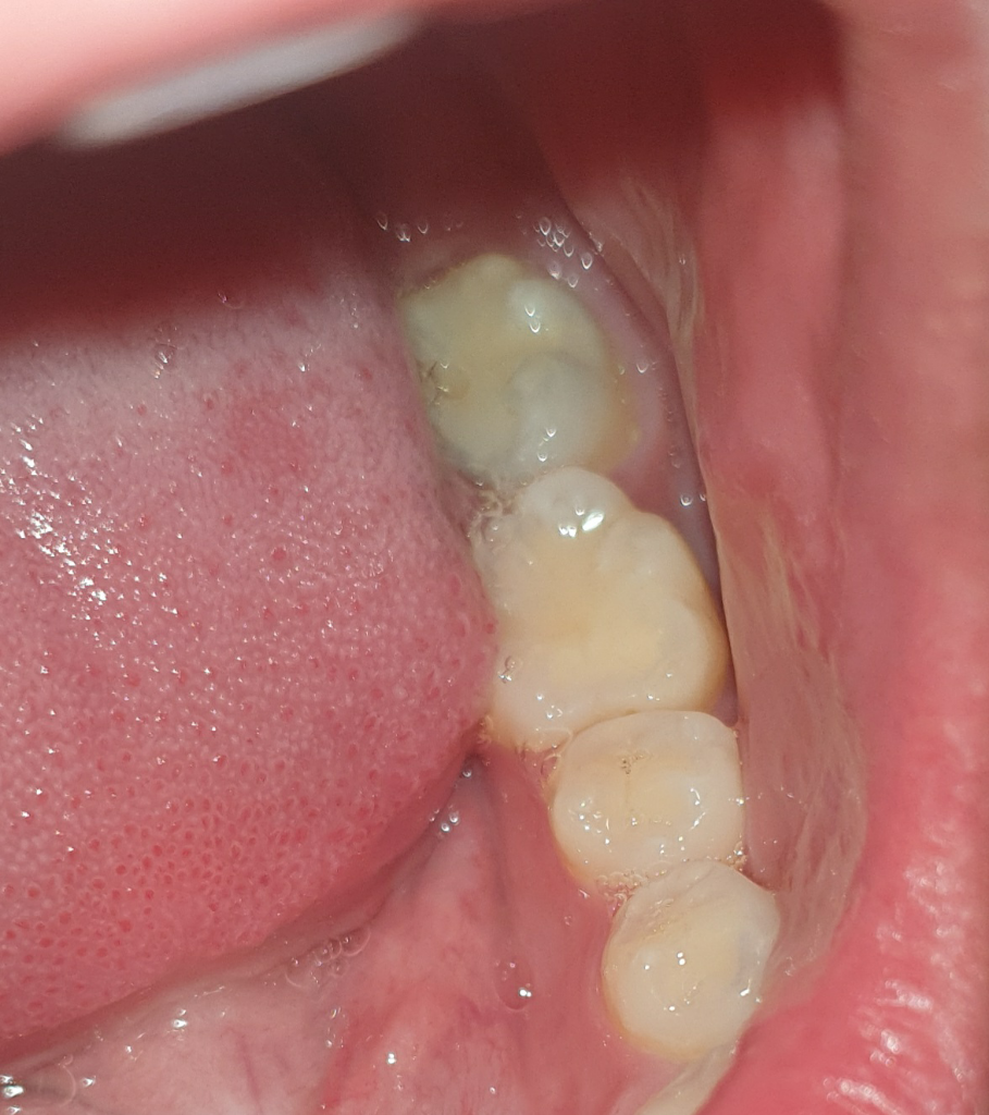
어금니가 회색으로 변색되었는데 충치인가요 레진 변색인가요?


레진치료를 한지는 3년이 조금 넘었습니다. 1년전에 치과에서 검진했을 때는 엑스레이상 문제가 없었습니다. 저번주에 치과 치료가 있었을 때 여쭤보지는 않았지만 그냥 넘어가셨거든요. 충치같아보이나요 변색같아보이나요?

  • 1번 째 사진
4개의 답변이 있어요!
  • 안녕하세요. 김철진 치과의사입니다.

    치료한 치아에는 크게 문제가 없어 보이지만, 뒤에서 3번째 치아 즉 제2소구치 뒤쪽은 조그만한 충치가 잇는거 같습니다. 관리를 잘하세요.

  • 안녕하세요. 정진석 치과의사입니다.

    충치는 아닌 것으로 보여집니다. 다만 방사선 사진 등을 통해서 치아 내부 상황을 확인해보아야 할 것으로 보입니다. 치아 색이 지금과 같이 나타나는 원인은 보철뭉레 의해 투영된 색이거나 안쪽에 충치가 있거나 다른 착색 요인으로 인하여 나타날 수 있습니다. 지금으로서는 정확한 판단을 위해 x-ray 등의 자료가 필요합니다.

    아무쪼록 저의 답변이 문제 해결에 작게 나마 도움이 될 수 있기를 기원드립니다. 항상 건강하고, 행복하세요^^

    정진석 치과의사 드림

  • 안녕하세요. 김지훈 치과의사입니다.

    충치로 보이지는 않습니다. 치과 검진 상에서 별 말씀없으셨고 엑스레이도 괜찮았다면 그냥 색이 변한것 같습니다.

  • 탈퇴한 사용자
    탈퇴한 사용자

    안녕하세요. 장인아 치과위생사입니다.

    레진재료의 특성으로 인한 변색으로 보여집니다.

    도움이 되기를 바랍니다. 건강하세요