아하
  • 토픽

  • 스파링

  • 잉크

  • 미션


의료상담

길쭉한파랑새106

길쭉한파랑새106

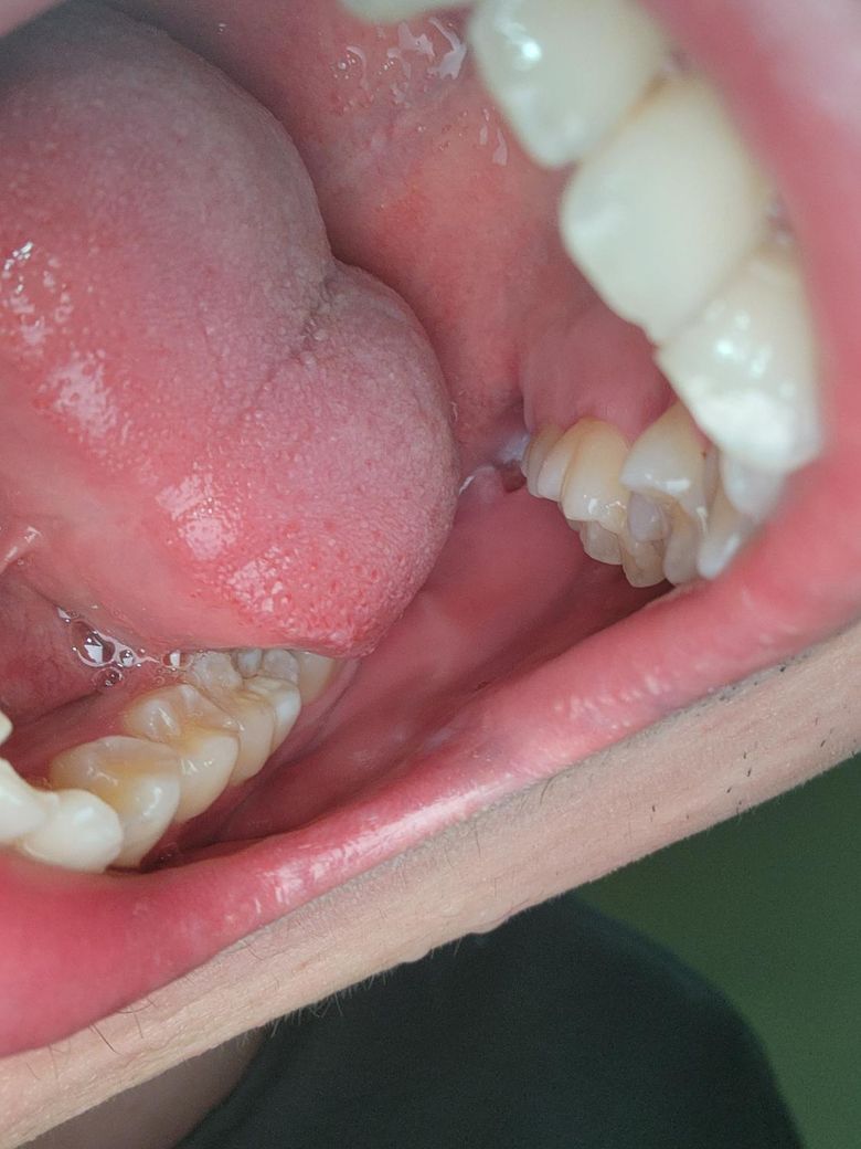
입안에 하얀거 났는데 이게 뭔가요 알려주세요 ㅠㅠ

위쪽 어금니쪽에 하얀게 생겼는데 혀로 만져보니 사랑니는 아닌거같고 구내염같기도 한데 저게 정확하게 뭔지 알려주실수 있나요 통증도 살짝 있어용 ㅠㅠ

  • 1번 째 사진

3개의 답변이 있어요!

  • 김철진 치과의사

    김철진 치과의사

    가까운우리치과

    안녕하세요. 김철진 치과의사입니다.

    사진이 잘 보이지 않아서 정확히 답변드리기 어렵지만 치아에 잇몸이 자극을 받아서 생긴거 같습니다 .일단은 치과에 가셔서 검진을 먼저 받아보세요.

  • 안녕하세요. 최석민 치과의사입니다.

    바이러스, 세균, 진균 감염의 가능성이 있습니다. 보다 정확한 건 구강내과가서 조직검사해보시기 바랍니다.

  • 안녕하세요. 안상우 치과의사입니다.

    사진으로는 정확한 확인이 어려워 보입니다. 몸이 피곤하거나 하면 구강 점막의 가피 등이 형성될 수 있습니다.

    자세한 확인을 위해서 치과에서 진료를 받아보는 것을 권유드립니다.