아하
  • 토픽

  • 스파링

  • 잉크

  • 미션


의료상담

정말인정받는청개구리

정말인정받는청개구리

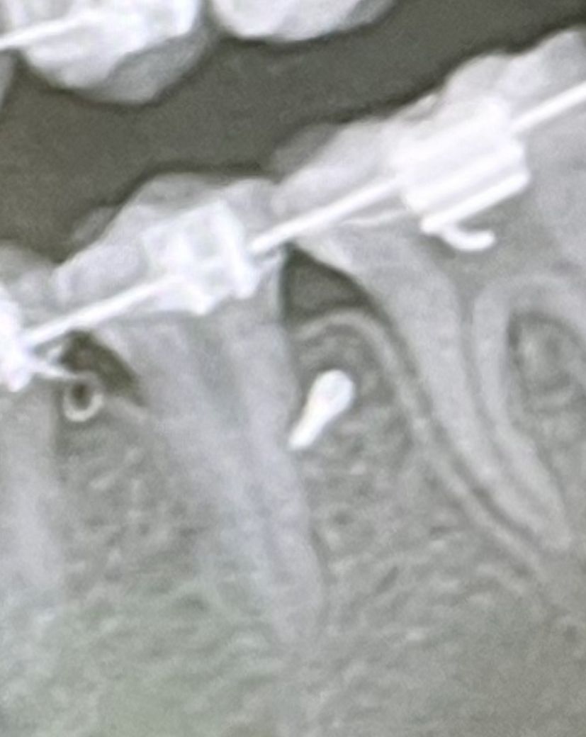
스크류가 치아뿌리에 식립된거 아닐까요?

ct사진 보다가 스크류랑 치아뿌리가 겹쳐져있는 걸 봤어요.. 스크류는 3-4개월 전에 박은 것 같아요.. 스크류 심을 때 새로 ct를 촬영하지 않고 그 전 사진을 보고 식립했어요 ㅠㅠ 박을 때도 엄청 아팠는데.. 양쪽 스크류가 다 겹치네요

  • 1번 째 사진

2개의 답변이 있어요!

  • 김철진 치과의사

    김철진 치과의사

    가까운우리치과

    안녕하세요. 김철진 치과의사입니다.

    엑스레이 사진은 평면으로 나오기 때문에 그렇게 보일수 잇지만 실제로는 잇몸뼈에 식립이 된거 같습니다.

  • 안녕하세요. 최석민 치과의사입니다.

    저거 엑스레이 파노라마 엑스레이보다는 치근단 엑스레이 사진을 찍고 확인해봐야 정확한 판단이 가능할 것 같습니다