의료상담
55글자 더 채워주세요.
2개의 답변이 있어요!
안녕하세요. 아하(Aha) 의료분야 답변자 외과 전문의 배병제입니다.
매복사랑니에 대한 문의시군요.
치과 카테고리에 작성하시는 것이 더욱 정확한 답변을 들으실 수 있을 것으로 생각됩니다.
저의 답변이 도움이 되셨길 바랍니다.
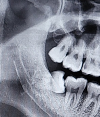
안녕하세요. 진호성 의사입니다.
사랑니가 정상적으로 나와서 청결하게 유지된다면 어금니로 사용할 수 있겠지만 매복 형태로 자라는 경우에는 관리의 어려움이 많아 감염 및 통증의 원인이 되고, 인접 치아에 손상을 주는 등 여러가지 문제를 유발할 수 있기 때문에 발치를 권하는 경우가 많습니다.
따라서 사랑니 경험이 많은 구강악안면외과 전문의와 충분히 상의해 보시고 발치 여부를 결정해 보시길 바랍니다. 매복 사랑니 발치후 1-2주간은 통증 및 불편감이 있을 수 있으므로, 발치 후 처방받은 약을 잘 드시면서 잘 관리 해주시기 바랍니다.
답변이 도움되었으면 합니다.

