아하
  • 토픽

  • 스파링

  • 잉크

  • 미션


의료상담

유난히여린낙타

유난히여린낙타

25.05.06

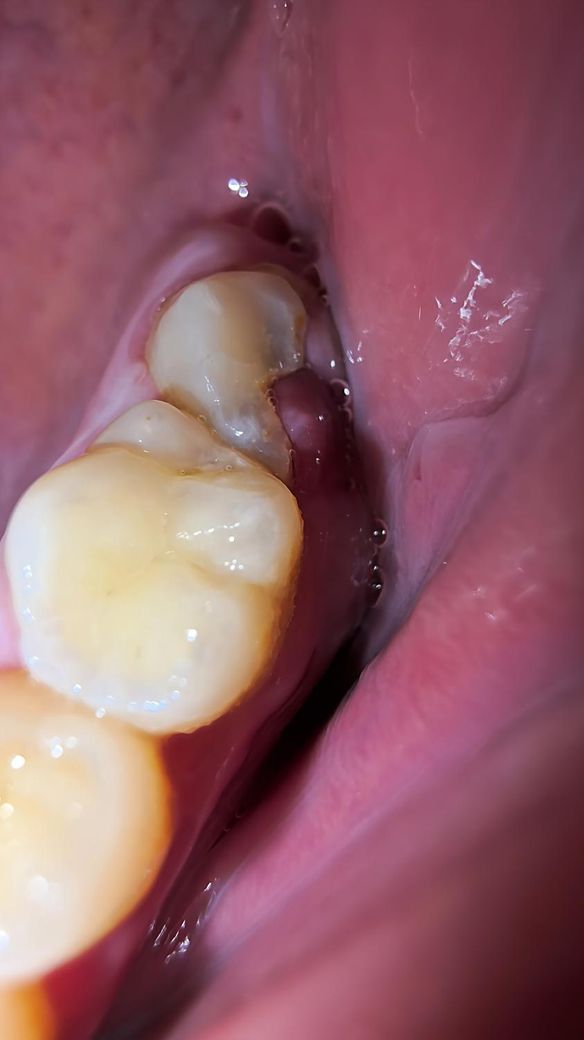
어금니 충치 발치해야할까요????

군대에서 충치가 있다고 확인한답시고 절반을 삭제시키고 무조건 발치를 해야된다고 했습니다 그러고나서 방치를 해왔는데 발치가 답일까요? 그리고 저기 가운데는 잇몸이 차오른건가요?

  • 1번 째 사진
  • 2번 째 사진

4개의 답변이 있어요!

  • 김지훈 치과의사

    김지훈 치과의사

    메가

    25.05.07

    안녕하세요. 김지훈 치과의사입니다.

    군대에서 충치가 있다고 확인한답시고 절반을 삭제시키고 무조건 발치를 해야된다고 했습니다 그러고나서 방치를 해왔는데 발치가 답일까요?

    -> 발치해야할 것 같습니다.

  • 안녕하세요. 김철진 치과의사입니다.

    사진상으로도 충치가 많이 진행된 상태고 잇몸도 많이 증식된 상채라 발치를 해야될 가능성이 높아 보입니다.

  • 안녕하세요. 안상우 치과의사입니다.

    충치가 있는 부위가 잇몸 뼈 아래로 내려가 있다면 치아를 발치해야 합니다. 하지만 인문표 위까지만 충치가 진행되어 있다면 치아를 살릴 수 있는 방법도 있습니다.

    자세한 확인을 위해서 치과에서 진료를 받아보는 것을 권유드립니다.

  • 안녕하세요. 최석민 치과의사입니다.

    충치가 심하네요 아마 치수(치아 속 신경)까지 노출된 것 같고 붉은 덩어리는 노출된 치수가 자극받아 생긴 치수용종(pulp polyp) 같습니다 발치 혹은 신경치료 후 후처치를 시도해볼 수 있습니다