아하
  • 토픽

  • 스파링

  • 잉크

  • 미션


의료상담

불같은꾀꼬리111

불같은꾀꼬리111

이 정도면 신경치료해야하나요?

차가운거 먹었을 때 이가 시린 증상이 있어서 오늘 치과에 가서 검진을 받았습니다

육안으로 보이는 충치는 없어서 바람 쏘면서 시린지 물어보셨고 시리지 않다고 하니 아이스막대로 확인해보셨습니다. 시린 증상 있는 이가 총 두 개 였구요 그 두 개만 집중적으로 사진 찍어서 보여주셨습니다

사진 보시자마자 두 개 다 신경치료해야한다고 하시던데 제가 일단 검진만 계획하고 와서 다음에 다시 오겠다하니

통증이 심한게 아니었냐 하시더라구요. (분명 찬거 먹었을 때만 시리다고 초반에 말씀드렸어요)

평소엔 괜찮고 찬 거 먹었을 때만 시리다 하니 일단 알겠다 하셔서 집에 돌아왔습니다


조금 진단이 주먹구구식이었다 해야하나요 그런 느낌이 들었어서 다른 의사선생님들 의견도 들어보고 싶어서 글 올립니다


+추가로 첫번째 사진에 검은 부분이 충치라면 육안으로 확연히 보이거나 어두운 빛으로라도 보여야하는 거 아닌가요 육안으로 봤을 땐 어두운 부분도 없고 별다른 이상이 없어보입니다...






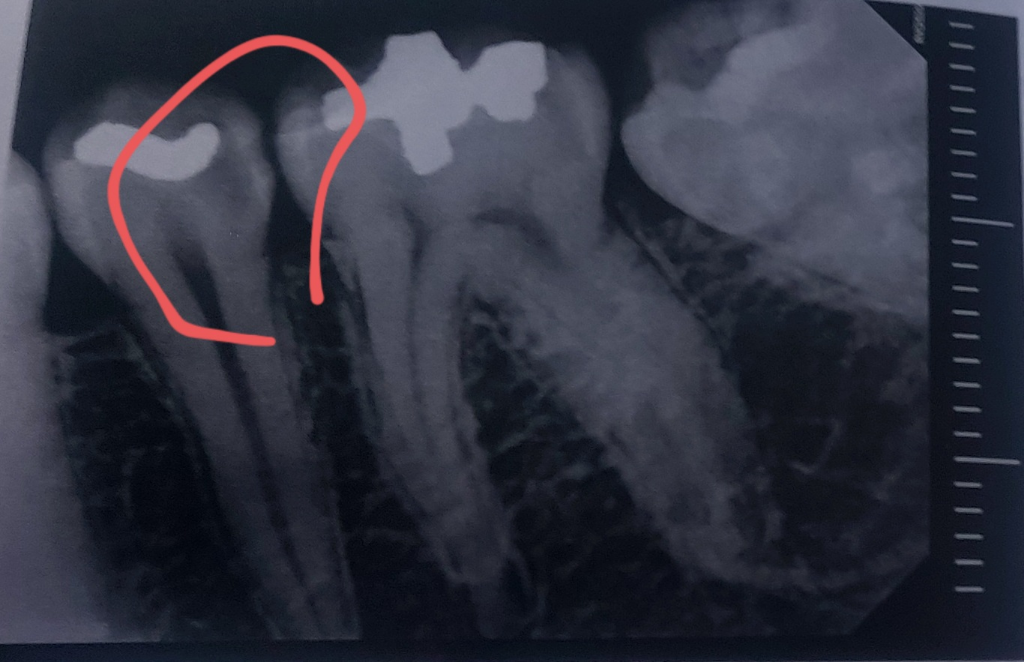
  • 1번 째 사진
  • 2번 째 사진
  • 3번 째 사진

2개의 답변이 있어요!

  • 김지훈 치과의사

    김지훈 치과의사

    메가

    안녕하세요. 김지훈 치과의사입니다.

    치아 사이 충치는 원래 눈에 잘 띄지 않습니다.

    사진상으로는 신경치료를 해야될 가능성이 높습니다만

    충치는 제거를 해봐야 확실히 알 수 있습니다

  • 안녕하세요. 김철진 치과의사입니다.

    엑스레이 상으로 봐도 충치가 깊어 보입니다. 신경치료를 해야될 가능성이 높아 보이네요.