아하
  • 토픽

  • 스파링

  • 잉크

  • 미션


의료상담

아픈거싫어요ㅠ

아픈거싫어요ㅠ

사랑니 발치 통증 및 발치 난이도 어떤가요?

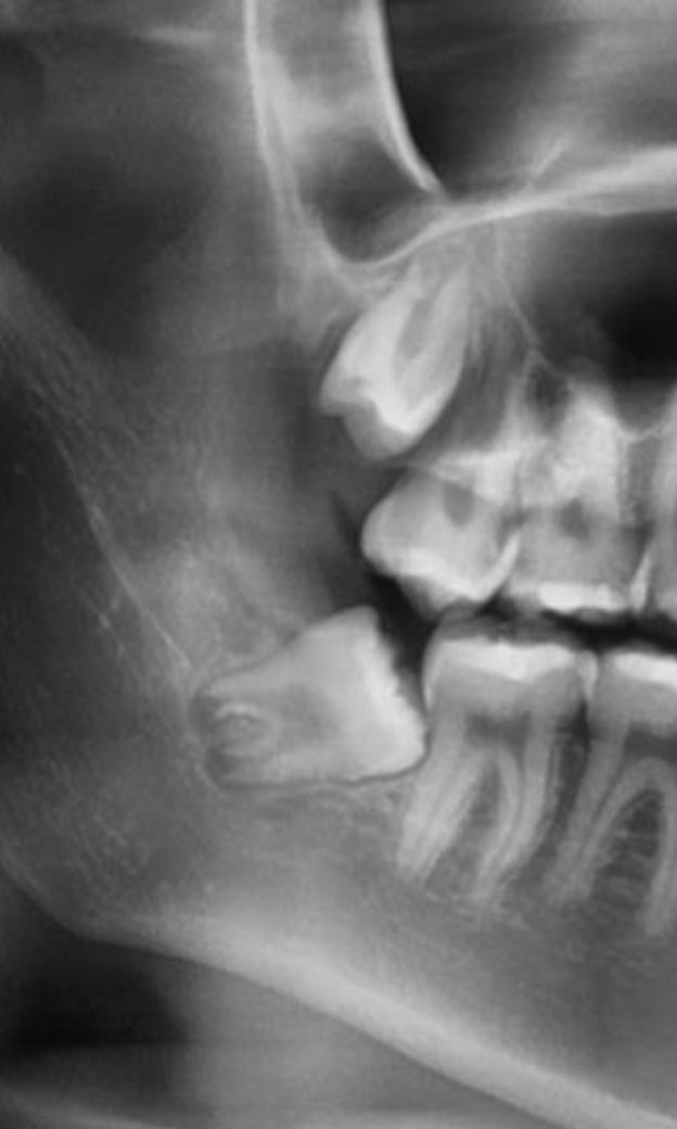
하악 사랑니가 계속 나오면서 붓고 볼살이 씹혀서 발치 하려고 생각 중인데 이 정도 치아는 발치 난이도나 발치 통증이 어느정도인가요 ㅠㅠㅠ 주변에 마취해도 아팠다는 친구들이 많아 걱정이에요 발치전에 타이레놀 먹고 가는게 도움이 되나요? 발치하는데 시간은 어느 정도 걸리나요

  • 1번 째 사진

1개의 답변이 있어요!

  • 안상우 치과의사

    안상우 치과의사

    목동안치과의원

    안녕하세요. 안상우 치과의사입니다.

    사진으로 봤을 경우 사랑니가 기울어져 나 있기 때문에 분리를 해서 발치를 해야 하는 난이도가 높은 발치입니다. 또한 사랑니에 뿌리가 신경관에 가깝게 위치하고 있기 때문에 발치를 하는 과정에서 신경 손상의 가능성도 있습니다. 구강외과 전문의에게 발치를 하는 것이 좋을 것으로 생각됩니다.