아하
  • 토픽

  • 스파링

  • 잉크

  • 미션


의료상담

제일고무적인육개장

제일고무적인육개장

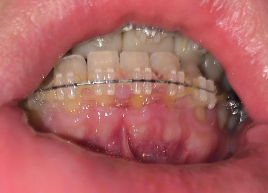
치과 교정중인데 이게 정상적인 치료가 맞나요??

보통 파워체인을 치아에 부착된 브라켓에 연속으로 연결하잖아요?

근데 최근 잇몸이 브라켓 위로 튀어나올정도로 너무 붓고 그래서 자세히 살펴보니

정상적으로 연결된 파워체인과는 별개로 또 다른 파워체인을 끼웠는데

파워체인을 34번 44번 치아쪽에만 끼우고 31, 32, 33, 41, 42, 43번 치아쪽은 브라켓 위에 끼운게 아니라

브라켓 아래쪽으로 그냥 잇몸 위를 지나가게 둬서 파워체인이 잇몸 속으로 파고들었더라구요

제가 전문 지식이 있는건 아니지만 도저히 정상적인 치료같지는 않은데 이런 경우가 있나요?

  • 1번 째 사진

2개의 답변이 있어요!

  • 최석민 치과의사

    최석민 치과의사

    강원도 원주의료원

    안녕하세요. 최석민 치과의사입니다.

    치아이동 방향을 고려하여 그렇게 의도적으로 해놨을 수도 있는데 정확한 건 교정 진행중인 치과의사에게 직접 물어보는 것이 정확합니다.

  • 안녕하세요. 김철진 치과의사입니다.

    파워체인은 치아에 교정기에 힘을 가하기 때문에 힘을 주는 치아끼리 연결해서 사용하기도 합니다.