홈
토픽
스파링
잉크
미션
전문가 신청
베리몰
나도 질문하기
의료상담
말끔한여새236
성별
여성
나이대
26
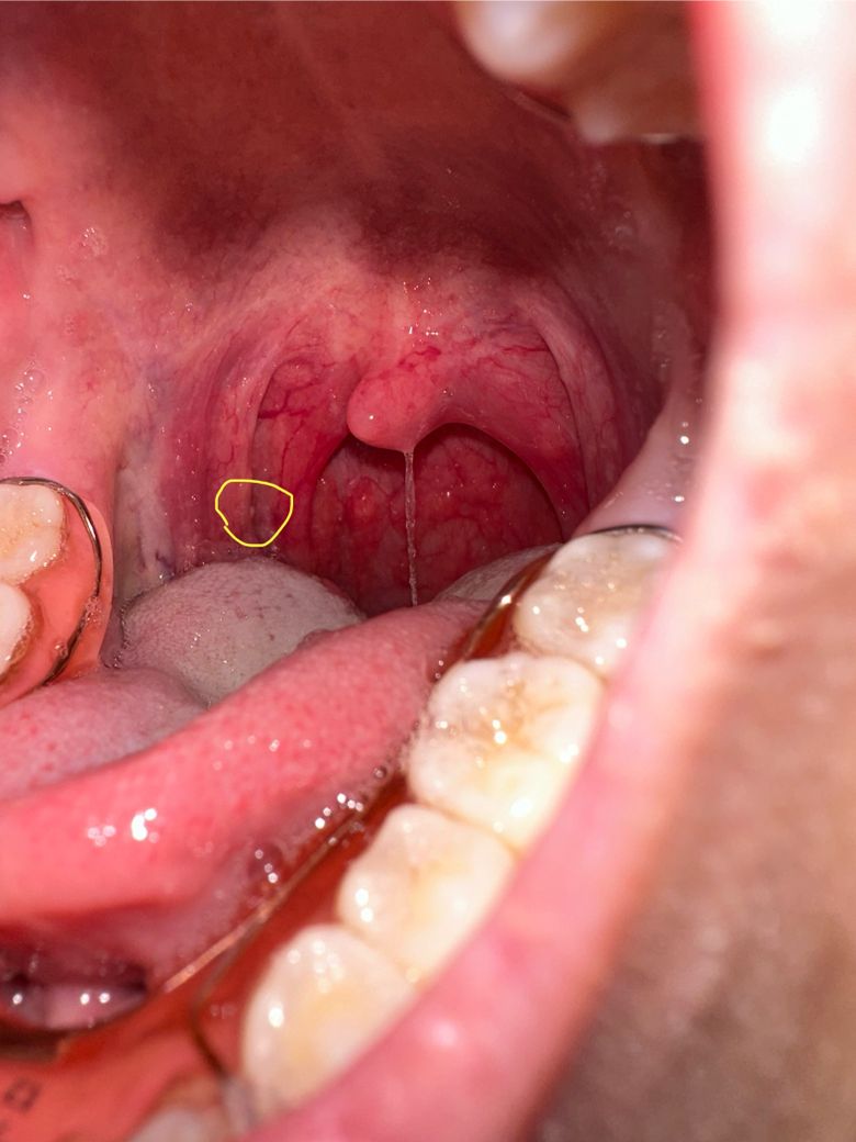
어제는 오른쪽부터 아파서 구내염인줄알고 프로폴리스 사탕이랑 비타민약을 먹었습니다. 그래서 괜찮을줄알았는데 아침에 일어나니 전체적으로 아프고 침삼길때마다 아픕니다ㅠ 혹시 작긴하지만 표시한 부분이 구내염인가요? 육안으로 봤을때는 하얀 알갱이 느낌입니다 하얀 가래도 계속 생깁니다ㅠ
사진 보기
1개의 답변이 있어요!
서민석 의사
가톨릭대학교 인천성모병원 가정의학과
∙
구내염 같아 보이지는 않고, 전반적으로 붉게 보이는 양상을 고려하면 인후염이라고 볼 수 있지요. 소염 진통제를 드셔 보셔도 도움이 될 수 있습니다.
평가
응원하기