아하
  • 토픽

  • 스파링

  • 잉크

  • 미션


의료상담

그리스화가

그리스화가

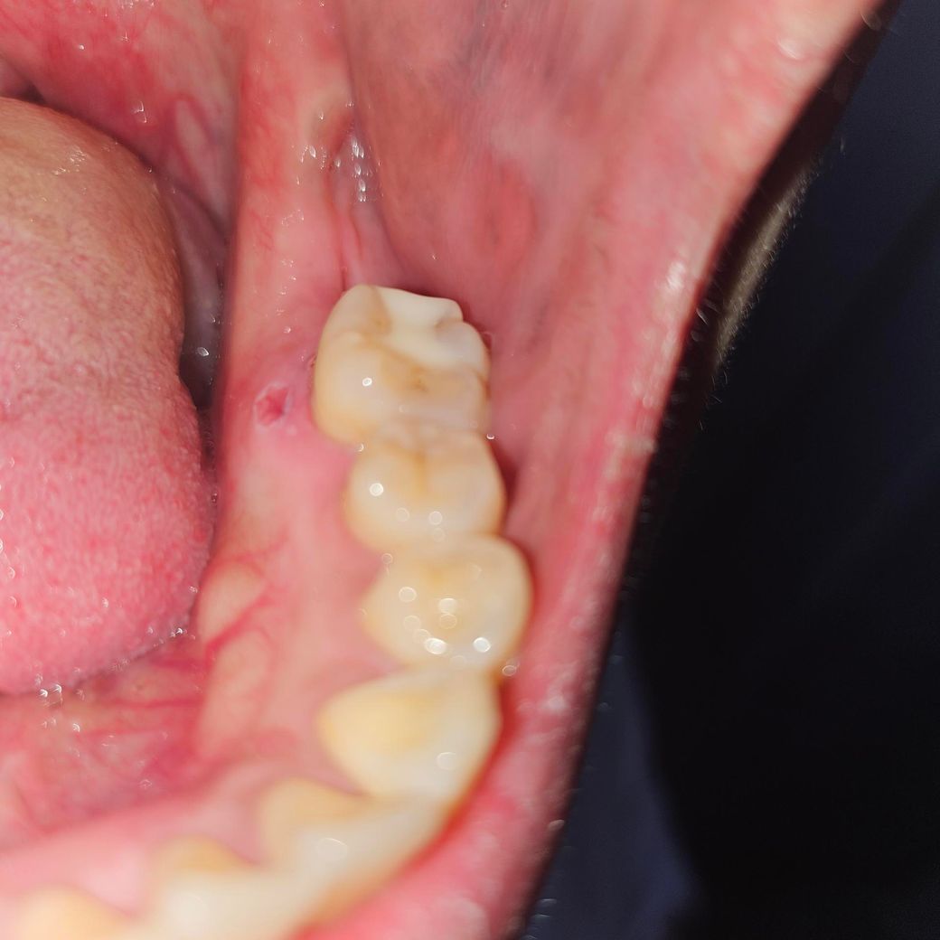
치과치료후 마취주사 통증 헐음 어떻게하나요?

다음주월요일날씌우기로했는데 이거괜찮은건가요

아니면치과방문함해봐야하는건가요?

몽우리아직만져져요 턱쪽에 통증도어제보단덜하지만있습니다.

이빨끼리 부딪히면 진동감있어요

  • 1번 째 사진
  • 2번 째 사진

4개의 답변이 있어요!

  • 안상우 치과의사

    안상우 치과의사

    목동안치과의원

    안녕하세요. 안상우 치과의사입니다.

    치과 치료를 받게 되면 마취를 한 부분에 상처가 생기거나 치료를 하는 과정에 상처가 생길 수 있습니다. 이런 상처는 대부분 시간이 지나면서 줄어들게 됩니다. 상처가 난 부위를 자극하지 않는 것이 좋습니다.

  • 안녕하세요. 김지훈 치과의사입니다.

    마취 주사로 인해 잇몸에 상처가 난 것으로 보이며 보통은 시간이 지나면 저절로 회복됩니다.

  • 안녕하세요. 김철진 치과의사입니다.

    마취로 인해서 생긴 상처는 시간이 지나면 괜찮아 지니 크게 걱정은 안하셔도 될것같습니다.

  • 안녕하세요. 최석민 치과의사입니다.

    치과용 마취 주사로 인해 일시적으로 얼얼함이나 멍멍함 등은 있을 수 있습니다.

    다만, 통증이 있는 것은 별개이니 예약과 관계없이 치과가서 체크해보세요