아핫뉴스실시간 인기검색어
아핫뉴스 화산 이미지
화산 아이콘 11
법원 김건희 주가조작 무죄
아하

의료상담

기타 의료상담

색다른긴꼬리30
색다른긴꼬리30

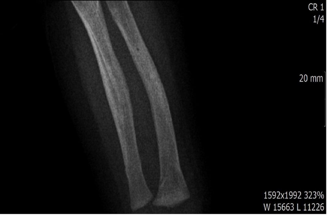
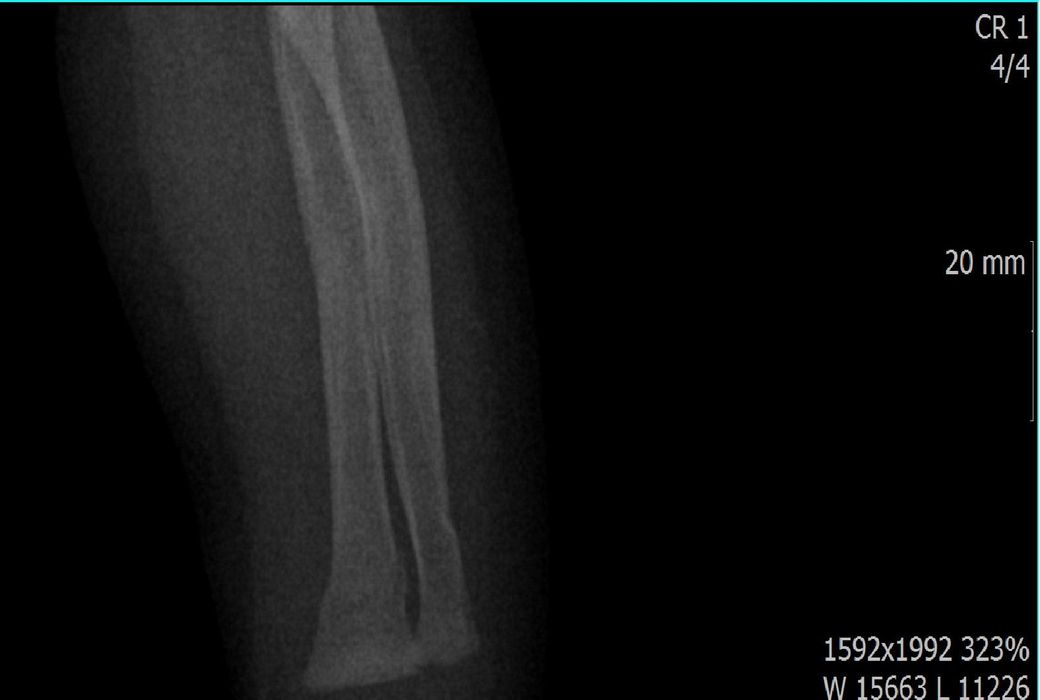
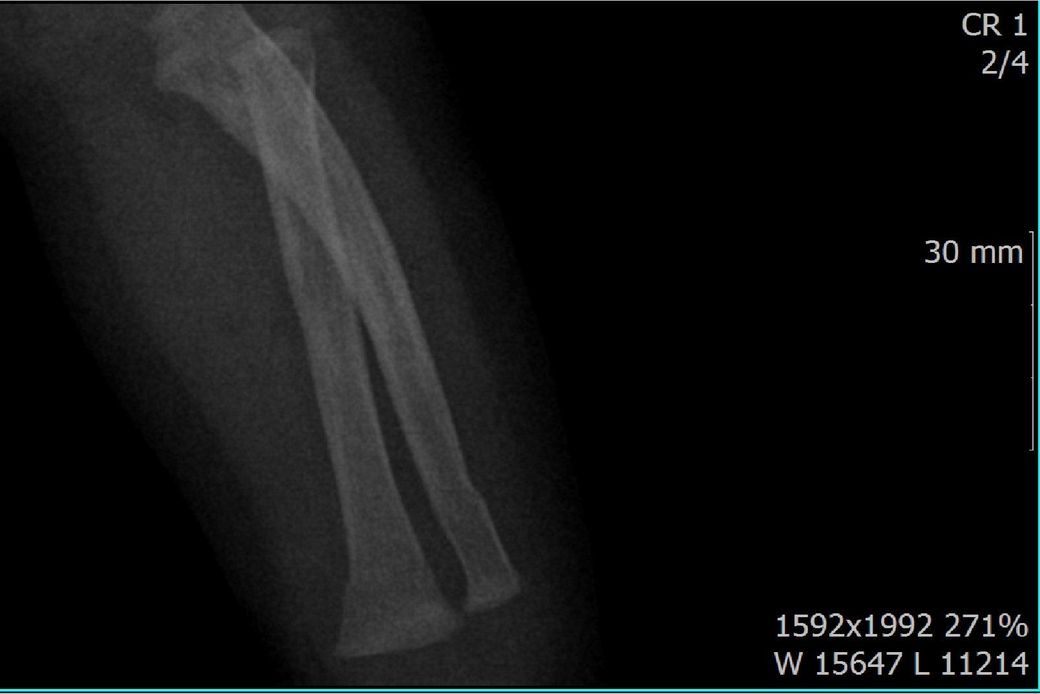
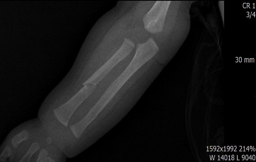
x ray 팔 골절 시기 추정해보고 싶습니다

성별
남성
나이대
영유아

무더운 날 노고가 많으십니다.

다름이 아니라, 첨부드린 엑스레이(X-ray) 사진처럼 골절 사실을 알게 되고 골절 발생 시점 대략적으로나마 추정시기를 파악하려고 문의 드리게 되었습니다

진료받았던 병원이나 타 병원이 '내가 신도 아닌데 어떻게 아냐'며 협조가 안되고 추정시기도 주장도 달라 너무 답답한 심정에 이 경로로 문의드립니다

1) 3월 30일 촬영한 X-ray만으로 정확한 골절 시기를 100% 특정하는 데에는 한계가 있다는 점 충분히 인지하고 있기에 촬영날짜 기준으로 대략적으로 어느정도 시점에서 발생되었을 것으로 추측(ex 당일, 7~10일전, 7~14일 전, 10일 ~ 20일전, 14일 ~ 30일전 등등등)되는지 이해하고 싶습니다.

첨부드린 파일에는 없지만 4월 5일 사진에서는 캘로스 라는 것이 발견된다고 합니다.

2) 미세한 금, 탈구 등이 있는 상태에서 정복 시도할 시 완전한 골절이 되고 붓기가 부어오를 수 있는지 여부가 궁금합니다.

100% 정확한 날짜를 지정하기를 요청드리는 것이 아니오라, 대략적인 정보를 원합니다

아무도 소견서 써주시는 분이 안계셔서 이곳에라도 도움 요청드리고자 합니다.

혹시라도 소견서 써주실 의사분 계시다면 지역이 어지간히 멀어도 방문하겠습니다. 감사합니다~~

  • 1번 째 사진
  • 2번 째 사진
  • 3번 째 사진
  • 4번 째 사진
  • 5번 째 사진
1개의 답변이 있어요!
  • 안녕하세요. 채홍석 가정의학과 전문의입니다.

    업로드해주신 증상의 설명과 자료는 잘 보았습니다.

    보호자분이 아마도 분명한 이유가 있어서 이러한 것이 궁금하시리라 생각합니다. 그리고 방문한 병원에서 "내가 신도 아닌데 어떻게 아냐'라고 예의 없이 이야기를 해서 협조가 되지 않는다고 생각하시는 것 역시 충분히 이해합니다.

    1) 하지만 촬영한 사진을 기준으로 골절시기를 며칠, 몇주 정도로 좁히는 것은 가능한 일이 아닙니다. 아마도 몇 개월간격으로는 가능할 것입니다. 보호자분이 원하시는 정보를 확인하기 위해서는 serial 한 사진, 그러니까 며칠 혹은 1-2주 간격으로 연달아 찍은 사진이 연속적으로 있어야 합니다. 그리고 그걸 보고서 판단을 합니다. 어느 한 시점의 사진만을 보고 골절시기를 추정하는 것은 가능하지 않습니다.

    2) 미세한 금, 그러니까 미세골절이 있는 상태에서 정복을 시도하면 통증이 발생합니다. 하지만 그로 인하여 완전하게 골절이 되지는 않습니다. 악의를 가지고 정복을 시도한 것이 아니라면요. 탈구의 경우는 정복을 할 때 역시 마찬가지입니다. 악의를 가지고 정복하는 것이 아니라면 골절이 발생하지는 않습니다.